Clinical Medicine and Diagnostics

p-ISSN: 2163-1433    e-ISSN: 2163-1441

2012;  2(5): 60-64

doi: 10.5923/j.cmd.20120205.04

Epithelial-Like Cells Containing Leucocytes (Nurse Cells) of Human Palatine Tonsils, Uterus Cervix and Pleural Fluid

Alexander Kuznetsov 1, 2

1Department of Human Anatomy of Novosibirsk State Medical University

2Municipal Hospital № 25, Novosibirsk, Russia

Correspondence to: Alexander Kuznetsov , Department of Human Anatomy of Novosibirsk State Medical University.

Email:

Copyright © 2012 Scientific & Academic Publishing. All Rights Reserved.

Abstract

Nurse cells (NCs) are detected in lymph-epithelial organs. The aim was to test the hypothesis that NCs are among tonsil epithelium (group 1), vagina epithelium (2) and pleural fluid (3) and to define the diagnostic value of the palatine tonsil (PT) NCs in leukaemia. NCs were found in patients of group 1 in leukaemia, in group 2 – in dysplasia and cancer, in group 3 – in AIDS; NCs were not obtained from practically healthy patients (group 1- 3), in cancer (groups 1, 3) and different infections and inflammation diseases (group 1-3). Conclusions. NCs are abnormal cells. The PT NCs can be used for early diagnosis of leukaemia.

Keywords: Palatine Tonsil Nurse Cells, Uterus Cervix, Pleural Fluid

Cite this paper: Alexander Kuznetsov , "Epithelial-Like Cells Containing Leucocytes (Nurse Cells) of Human Palatine Tonsils, Uterus Cervix and Pleural Fluid", Clinical Medicine and Diagnostics, Vol. 2 No. 5, 2012, pp. 60-64. doi: 10.5923/j.cmd.20120205.04.

1. Introduction

Nurse cells (NCs) perform important functions and are generally detected in lymphoid organs in normal and in pathology[1-13]: in thymus[1],[2],[3],[4],[5],[6], tonsils and adenoids[4],[5]. The authors attach important features to NCs. Some subtypes of NCs were found. Reference [5] shows that follicular dendritic cells have been isolated from human tonsils and adenoids and characterized at the ultrastructural level. Follicles were dissected and digested with different hydrolytic enzymes. Follicular dendritic cells enveloping lymphocytes with their cytoplasmic extensions in a way analogous to that described for isolated thymic nurse cells were obtained. The ultrastructural features of isolated follicular dendritic cells are similar to those observed in situ [5].
NCs show neither phagocytic ability, nor alpha-naphthyl acetate esterase (ANAE) and peroxidase cytochemical reactions. The majority of NCs from adenoids and tonsils react with the monoclonal antibody (McAb) OKIa [4]. In vitro cultured epithelial reticular cells from foetal thymic explants and thymic nurse cells (TNC) demonstrate the presence of keratin filaments in the cytoplasm. Keratin-positive cells of cultured thymic epithelium are heterogeneous in size and shape as are TNC [11]. Thymic epithelial cells often form lymphoid-epithelial cell (LEC) complexes, thought to contribute both to normal T-cell differentiation and to leukemogenesis. The distribution of the nerve growth factor (NGF) and NGF immunoreactivity modulation of complex-forming thymus epithelial cells were studied in mice with experimental acute L1210 leukemia. Immunoperoxidase and immunogold labelling showed subcapsular and subseptal overexpression of NGF by epithelial cells in leukemic thymus. NGF immunopositive epithelial cells were closely associated with lymphoid cells [12]. Bombesin-like peptides mediate premature thymic maturation and thymic nurse-cell depletion, leading to autoreactive T cells that could contribute to bronchopulmonary dysplasia [10]. Electron microscopic investigations reveal the epithelial character of the large thymic nurse cells. Thymic macrophages identified by phagocytosis marker were serologically identical to thymic nurse cells [1]. Nurse-like cells (NLCs) belong to the wound-healing macrophage subset (so-called 'M2 subset'), but most of all, unsupervised clustering analysis positions NLCs as chronic lymphocytic leukaemia -specific tumor associated macrophages (TAMs). Chemokinome assays confirmed that NLCs secrete prototypical M2 cytokines and chemokines. NLCs are not just nursing, but actively participate in the setting of an environment-mediated drug resistance (EM-DR) and immune escape for chronic lymphocytic leukaemia cells [9]. Tumor-associated macrophages (TAM) have multifaceted roles in tumor development but they have been associated particularly closely with tumor angiogenesis [8]. Tumour-associated macrophages (TAMs) foster tumour progression by several mechanisms, including the promotion of angiogenesis, tissue remodelling, and immunosuppression. Such pro-tumoural activities are thought to be executed by TAM subtypes that harbour features of alternatively activated (or M2-polarized) macrophages. While VEGF-A recruits monocytes from the peripheral circulation, IL-4 induces their differentiation into tumour-promoting, M2-like macrophages. IL-4 signalling blockade was sufficient to reprogram TAMs away from the M2-like phenotype and inhibited tumour angiogenesis and growth. This study attests to the potential of reprogramming TAMs to abate their pro-angiogenic and pro-tumoural functions in tumours [7]. Nurse cells are defined as those that provide for the development of other cells. Human monocyte-derived macrophages can behave as nurse cells with functional capabilities that include de novo generation of CD4+ T-lymphocytes and a previously unknown small cell with monocytoid characteristics. These novel cells have been named "self-renewing monocytoid cells" (SRMC), because they could develop into nurse macrophages that produced another generation of SRMC. SRMC were not detectable in blood. Their transition to nurse behavior was characterized by expression of CD10, a marker of thymic epithelium and bone marrow stroma, typically absent on macrophages. Confocal microscopy revealed individual HIV-1-expressing nurse macrophages simultaneously producing both HIV-1-expressing SRMC and non-expressing CD3+ cells, suggesting that nurse macrophages might be a source of latently infected CD4+ T-cells. Real-time PCR experiments confirmed this by demonstrating 10-fold more HIV-1-genome-harboring T-cells, than virus-expressing ones. These phenomena have far-reaching implications, and elicit new perspectives regarding HIV pathogenesis and T-cell and hematopoietic cell development [13].The large number and size of TNCs containing viable thymocytes in the female transgenic thymus suggest that TNC function is not limited to the removal of apoptotic thymocytes. The selective uptake of viable double-positive thymocytes by TNCs in C57BL/6 and HY-TCR transgenic female mice provides evidence that this interaction occurs during the process of major histocompatibility complex restriction [2].
The aims of the research were to test the hypothesis that nurse cells containing leukocytes - NCs can be not only in tonsils but also among epithelium of uterus cervix and pleural fluid and to define the diagnostic value of the NCs in leukaemia.

2. Materials and Methods

The cytological material was obtained by scraping from the tonsil, uterus cervix and by pleural puncture and studied by light microscopy in smears stained by Giemsa (method of scraping of tonsil – revealing of metastases of malignant tumor in tonsils: Patent № 2293987, Russian Federation). Cytological material of three groups of patients have been examined: group 1- tonsil cells of 1300 patients (male, female, aged 13 - 85), group 2 – uterus cervix/vagina cells of 11520 patients (female, aged 6 months - 80 years) and group 3 - pleural fluid cells of 1288 patients (male and female, aged 25-80). 280 patients of group 1 had malignant solid tumors of different localization, 19 patients had leukaemia (chronic lymphatic leukemia and acute lymphoblastic leukemia), 30 were practically healthy, the rest had different infections and inflammation diseases. 24 patients of group 2 had dysplasia and cancer, 570 patients were practically healthy, the rest had different infections and inflammation diseases. In group 3 there were 18 patients in cancer, 1 – in AIDS, the rest had pneumonia.

3. Results and Discussion

NCs - cells containing leucocytes are found among tonsil epithelium and uterus cervix epithelium and in pleural fluid.
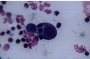
NCs have been obtained from 19 patients of group 1 in leukaemia (Figure 1), in group 2 – from 11 patients with dysplasia (Figure 2) / cancer (Figure 3) and in group 3 – one patient had atypical cells in pleural fluid in AIDS (Figure 4, 5).
Figure1. Epithelium - like nurse cell containing leucocytes of palatine tonsil in leukemia. Smear stained with Giemsa, magnification x 1000
Figure 2. Epithelium - like nurse cell containing leucocytes of uterus cervix in dysplasia. Smear stained with Giemsa, magnification x 1000
NCs were not obtained from practically healthy patients and from patients in different inflammatory diseases of groups 1, 2 and 3. The NCs have diameter of about 35 µm (or more) and different quantity of leukocytes in their cytoplasm. Their polymorphous nuclei are eccentric (Figure 1, 2, 3, 4).
Tonsil NCs nuclei can be reticular, hyperchromically stained on their periphery or the nuclei are fully hyperchromically stained. Uterus cervix NCs have one nucleus. Pleural fluid NCs have two nuclei (Figure 5) and about 3-15 and more leukocytes in their cytoplasm. The NCs have been found in a patient in AIDS. Pleural fluid NCs are polymorphous, polynuclear and hyperchromic. The uterus cervix nuclei and pleural fluid nuclei consist of coarse chromatin. It is possible to suggest that NCs are formed gradually in a process resembling phagocytosis (Figure 6). As a result one leukocyte is captured by a cell (Figure 7). It is typical for NCs to contain leukocytes in their cytoplasm [1-13]. The NCs are similar to thymic nurse cells.
Figure 3. Epithelium - like nurse cell containing leucocytes of uterus cervix in cancer. Smear stained with Giemsa, magnification x 1000
Figure 4. Epithelium - like nurse cell containing leucocytes of pleural fluid in AIDS. Smear stained with Giemsa, magnification x 1000
Figure 5. Epithelium - like nurse cell containing leucocytes of pleural fluid in AIDS. Smear stained with Giemsa, magnification x 1000
Figure 6. One leucocyte is being surrounded with atypical cell cytoplasm of pleural fluid in AIDS. Smear stained with Giemsa, magnification x 1000
Figure 7. One leucocyte is in cytoplasm of epithelium of uterus cervix in dysplasia. Smear stained with Giemsa, magnification x 1000
The microenvironment provided by thymic nurce cells (TNCs) play an important role in thymocyte celection as well as the potential for TNCs to be involved in the maintenance of thymic epithelia[1],[3]. Epithelial cells filled with lymphocytes (nurse cells, NC) from human adenoids and tonsils show morphological characteristics analogous to those of thymic NC: they appear as large (diameter 30-35 micrometers) elements, containing peripherally situated tonofilament bundles, electrodense mitochondria and some vacuoles. Each NC contains 5-30 intact lymphoid cells, some of which appear in the activated state. NC show neither phagocytic ability, nor ANAE and peroxidase cytochemical reactions [4]. It was revealed that follicular dendritic cells have been isolated from human tonsils and adenoids. Follicular dendritic cells envelope lymphocytes with their cytoplasmic extensions in a way analogous to that described for isolated thymic nurse cells [5]. In references [1-13] NCs are shown in normal and pathology. In our research NCs have been found only in pathology: in human tonsils in leukaemia, in uterus cervix in dysplasia and in pleural fluid in AIDS. NCs were described in leukaemia [9, 12]. A large number and size of TNCs containing viable thymocytes in transgenic thymus suggest that TNC function is not limited to removal of apoptotic thymocytes. TNC in transgenic mice demonstrate their association with MNC restriction [2]. The NCs revealed in our research are similar to thymic nurse cells described in reference [3]. It is suggested that among the NCs revealed in our research there are NCs with phagocytes function. This idea is proved by earlier research [9,13]. The NCs have been found in cells smears of the tonsils in all patients with leukaemia, among epithelium of cervix uterus of patients with dysplasia and among atypical cells of pleural fluid. The NCs have a large size. The NCs contain leukocytes in their cytoplasm. Their nuclei become eccentric as leukocytes occupy cytoplasm. Similar eccentric nuclei were found in earlier research [3]. By sedimentation at unit gravity follicular dendritic cells enveloping lymphocytes with their cytoplasmic extensions in a way analogous to that described for isolated thymic nurse cells were obtained [5].
In our research atypical cells (ACs) have been found in smears of scrapes from the PT in patients with breast, stomach and rectal cancer (Figure 8). These cells are revealed irrespective of the tumor stage. These ACs cells have different sizes, shape of nucleus and cytoplasm, and intensity of staining. Most ACs display light blue homogeneous abundant cytoplasm with sinuous contour and “bubble like” swellings. These ACs tend to coalesce or make syncytium. The bubbles often lace themselves off from cytoplasm and dispose themselves freely as balls in smears. The nuclei are eccentric, have a lacy contour with fissures or lobulations, and they are stained pink. The number of ACs in smears of the PT of patients in Groups 1-3 (carcinoma) are from 14 µm to 32 µm in size.
Figure 8. Atypicall cells of tonsil in stomach cancer. Smear stained with Giemsa, magnification x 1000
Trichomonas were revealed unexpectedly in cells specimens of PT of patients during screening of neoplasm. The patients did not suspect they were infected by trichomonas. Abnormal ring-like cells have been found in the PT in patients with anemia and trichamonas (Figure 9). The trichomonas were arranged among the epithelium of a patient with anemia, they had size 10-18 μm, small pink/red nucleuses, displayed light blue intensively stained abundant cytoplasm with clear contours and were rounded or pear-shaped. Epithelial cells had a large size, a large nucleus and cytoplasm and were intensively-stained. The epithelium displayed homogenous abundant optically dense cytoplasm with sinuous contour – dysplasia (Figure 10). Some large epithelial cells had a large solitary vacuole or a few small vacuoles.
Figure 9. The abnormal ring–like cell of tonsil in trichomoniasis and anemia. Smear stained with Giemsa, magnification x 1000
Figure 10. Dysplasia of tonsil epithelium in trichomoniasis and anemia. Smear stained with Giemsa, magnification x 1000
The main part of the research as opposed to the references has been done by PT scraping. According to special literature and our research scraping is better than biopsy or puncture. It helps to achieve the goal. Scraping is atraumatic, can be carried out with the least waste of time, little pecuniary means and it gives a chance to obtain lymphoid tissue, reticulum and epithelium. None of the patients of the investigated groups had complications.

4. Conclusions

NCs in vagina and pleural fluid are revealed for the first time. NCs–complexes suggest that NCs can be generated among epithelial organs having lymph tissue. In our research NCs have been revealed only in severe pathology: dysplasia, AIDS (smears of cells from uterus cervix and pleural fluid correspondingly). NCs can reflect an obstinate course of the mentioned diseases. The NCs revealed in our work can be of different subtypes. In this aspect two variants are suggestive. Firstly, NCs can be abnormal and envelope normal leucocytes. Thus, the represented NCs are abnormal cells complexes. Secondly, NCs can appear in epithelium and envelope abnormal leucocytes. NCs have been found only in leukaemia in PT cells smears. In both variants patients have damaged immunity. The appearance of the NCs in PT might reflect protective reaction of human organism. Taking the above mentioned into account it is thought that tonsil NCs can be used for early diagnosis of leukaemia. NCs from uterus cervix and pleural fluid can be used as marks of the severity of the described diseases.

AKNOWLEDGEMENTS

We would like to thank academician Y.I. Borodin, A.N. Mashak, S.V. Astrakov, O.V. Popkova providing only general support and G.I. Kuznetsova for writing assistance.

References

[1]  Wekerle H, Ketelsen UP, Ernst M, “Thymic nurse cells”, Lymphoepithelial cell complexes in murine thymuses: morphological and serological characterization”, The Journal of Experimental Medicine, vol. 151, no.4, pp. 925-944, 1980.
[2]  Martinez M, Samms M, Heydrix TM, Adeosun O, Guiden JC, “ Thymic nurse cell multicellular complexes in HY-TCR transgenic mice demonstrate their association with MHC restriction”, Experimental Biology and Medicine, vol.232, no.6, pp.180-788, 2007.
[3]  Hendrix TM, Chilukuri RV, Martinez M, Olushoga Z, Blake A, Brohi M, Walker C, Samms M, Guyden JC, “ Thymic nurse cells exhibit epithelial progenitor phenotype and create unique extra-cytoplasmic membrane space for thymocyte selection”, Cellular Immunology, vol.261, no. 2, pp. 81-92, 2010.
[4]  Manconi PE, Ennas MG, Murru MR, Cadeddu G, Tore G, Lantini MS, “Epithelial-like cells containing lymphocytes (nurse cells) in human adenoids and tonsils”, Thymus, vol.6, no.6, pp. 351-357, 1984.
[5]  Lilet-Leclercq C, Rdoux D, Heinen E, Kinet-Denoёl C, Defraigne JO, Houben-Defresne MP, Simar LJ, “Isolation of follicular dendritic cells from human tonsils and adenoids. I. Procedure and morphological characterization”, Journal of Immunological Methods, vol.66, no.2, pp. 235-244, 1984.
[6]  Li A, Liu X, Duan B, Ma J, “Thymic nurse cells support CD4-CD8+ thymocytes to differentiate into CD4+CD8+ cells”, Cellular & Molecular Immunology, vol.2, no.4, pp.301-301, 2005.
[7]  De Palma M. Partnes in crime: VEGF and IL-4 conscript tumour-promoting macrophages // J Pathol. 2012. 10.1002/path.4008.
[8]  Chen W, Ma T, Shen XN, Xia XF, XU GD, Bai XL, Liang TB, “Macrophge-Indused Tumor Angiogenesis Is Regulated by the TSC2-mTor Pathway”, Cancer Research, vol. 72, no.6, pp.1363-1372, 2012.
[9]  Ysebaert L, Fournié JJ “Genomic and phenotypic characterization of nurse-like cellsthat promote drag resistance in chronic lymphocytic leukemia”, Leukemia & Lymphoma, vol.52, no.7, pp. 1404-1406, 2011.
[10]  Rosen D, Lee JH, Cuttitta F, Rafigi F, Degan S, Sunday ME, “Accelerated thymic maturation and autoreactive T cell in bronchopulmonary dysplasia” The American Journal of Respiratory and Critical Care Medicine, vol.174, no.1, pp.75-83, 2006.
[11]  Vakharia DD, “Demonstration of keratin filaments in thymic nurse cells (TNC) and alloreactivity of TNC-T cell population” Thymus, vol.5, no.1, pp.43-52, 1983.
[12]  Marinova TS, Markova M, Aloe L, “NGF overexpression and distribution in cortical thymic epithelial cells of mice with experimentally-induced leukemia”, In Vivo, vol.20, no.2, pp.259-64, 2006.
[13]  Gartner S, Liu Y, Natesan S, “De novo Generation of Cells within Nurse Macrophages and Consequences following HIV-1 infection”, PLos One, vol.7, no.7, e401349, 2012.