Ishmuratov F. E.1, Madaliev A. A.2, Karimov A. R.3
1Pathomorphologist, Karakalpakstan branch of the Republican Specialized Scientific and Practical Medical Center of Oncology and Radiology, Uzbekistan
2Head of the Pathomorphology Department of the Republican Specialized Scientific and Practical Medical Center of Oncology and Radiology, Uzbekistan
3Pathomorphologist, Republican Specialized Scientific and Practical Medical Center of Oncology and Radiology, Uzbekistan
Correspondence to: Ishmuratov F. E., Pathomorphologist, Karakalpakstan branch of the Republican Specialized Scientific and Practical Medical Center of Oncology and Radiology, Uzbekistan.
| Email: |  |
Copyright © 2026 The Author(s). Published by Scientific & Academic Publishing.
This work is licensed under the Creative Commons Attribution International License (CC BY).
http://creativecommons.org/licenses/by/4.0/

Abstract
Hepatoblastoma is the most common malignant liver tumor, most common in early childhood. In the pediatric population, 90% of hepatoblastomas appear before the age of 4 years. It demonstrates significant histological heterogeneity and can be classified as an epithelial or mixed epithelial-mesenchymal subtype. Most cases are sporadic and develop in the liver without previous background liver disease, however, they are sometimes associated with constitutional genetic abnormalities, malformations, and hereditary tumor syndromes such as Beckwith-Wiedemann syndrome and familial adenomatous polyposis. The following is a clinical case of a 4-year-old child who was taken to the hospital with an acute abdomen and bloating.
Keywords:
Hepatoblastoma, Pediatric liver tumor, Alpha-fetoprotein (AFP), Epithelial type hepatoblastoma, Embryonal and fetal components, Immunohistochemistry, Liver neoplasms in children, Computed tomography (CECT), Histopathology, Rare childhood malignancy
Cite this paper: Ishmuratov F. E., Madaliev A. A., Karimov A. R., Hepatoblastoma: Description of the Clinical Case, American Journal of Medicine and Medical Sciences, Vol. 16 No. 3, 2026, pp. 951-954. doi: 10.5923/j.ajmms.20261603.22.
1. Introduction
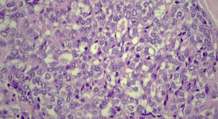
Hepatoblastoma is a tumor that arises from embryonic parenchymal liver cells, with an annual incidence of 1.2 cases per 1 million people. This disease accounts for about 79% of all liver tumors in children. According to statistics, 90% of all cases of hepatoblastomas occur in children under the age of 4 years [1]. Hepatoblastoma usually has a monofocus character, affecting more often the right lobe of the liver. A slightly higher prevalence is observed among boys. The tumor is divided into epithelial type hepatoblastoma and mixed epithelial/mesenchymal type [2]. Hepatoblastoma is usually manifested by bloating, weight loss and lag in physical development, and may be accompanied by jaundice and fever. At the same time, a high level of alpha-fetoprotein (AFP) in the blood serum is the main diagnostic and prognostic marker. The tumor increases in size quite rapidly, respectively, if the patient is left untreated, he will suffer death as a result of bleeding, liver failure and distant metastases [3]. The following is a description of a clinical case of a 5-year-old child who was taken to the hospital with bloating and abdominal pain. After an X-ray examination, a liver abscess was diagnosed, while histopathology showed that we are actually dealing with a hepatoblastoma.A clinical case. A 4-year-old girl was taken to the emergency department with complaints of an acute stomach and pain in the navel area during the day. Ultrasound examination of the abdominal cavity revealed a heterogeneous tumor-like formation measuring 3.5× 2.3× 2.0 cm. The formation was localized in the VI and VII segments of the liver. A site with calcifications was identified in the tumor lesion. There are separate areas of vascularization on color Dopplerography. Examination using CT with contrast enhancement (CECT) showed a heterogeneous formation without clear boundaries with cavities and outpouring of contrast agent into the VI segment of the liver, as well as hemorrhagic effusion in the abdominal cavity. An urgent laparotomy with tumor resection was performed. Alpha-fetoprotein (AFP) level control showed 55,000 IU/ml.Histopathology. Macroscopic description: a 4.7× 3.1× 2.2 cm fragment of the liver, subcapsularly dissected with a 3.5× 2.3 cm tumor with clear boundaries in the capsule, located directly at the edge of one of the edges of the resection (Fig. 1). The tumor is brownish-white in color with foci of hemorrhages. Microscopic examination shows an encapsulated liver tumor consisting of two lobes. Hepatoblastoma: description of a clinical case. cell types: a) small tumor cells with rounded and oval nuclei, sparse cytoplasm and pronounced nucleoli. These cells were arranged in strands and layers, resembling embryonic liver tissue; b) round and oval cells with a moderate amount of eosinophilic cytoplasm, grouped in the form of trabeculae and chains, similar to fetal liver (Fig. 1,2). | Figure 1. Hepatoblastoma site with fetal component. Increase .x200. H&E |
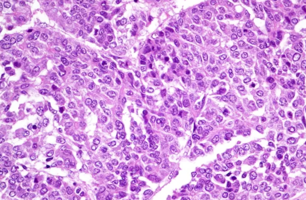
Immunohistochemical examination revealed a corresponding positive reaction with cytokeratin, EMA (epithelial membrane antigen), vimentin, polyclonal CEA (carcinoembryonic antigen), Hep Par-1, AFP (alpha-fetoprotein), alpha 1-antitrypsin, CD 99, CD 56, hCG (human chorionic beta-gonadotropic hormone), transferrin receptor and delta-like protein [7]. | Figure 2. Hepatoblastoma is a site with an embryonic component. Increase .x200. H&E |
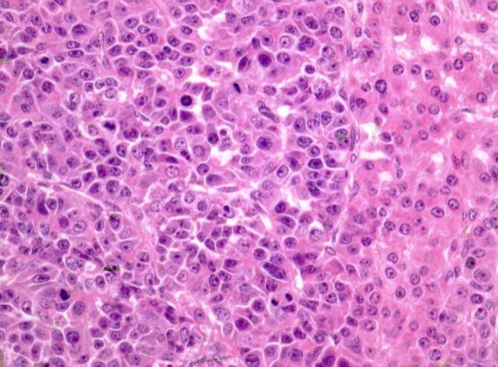
Microscopy revealed extensive areas of hemorrhage in the tumor tissue. Marked lymphoid infiltration of the portal tracts was noted. The pathohistological diagnosis is epithelial type hepatoblastoma (fetal and embryonic components). This epithelial-type hepatoblastoma demonstrates a fetal "mature" pattern (the right part of the drug), passing into the embryonic "immature" zone (the left part), which clearly emphasizes the contrast between the two subtypes. Fetal areas resemble mature hepatic parenchyma and are characterized by relative cellular homogeneity, minimal atypia, rare mitoses, and tumor cells with abundant eosinophilic cytoplasm. The embryonic areas look less mature, with a high nuclear-cytoplasmic ratio, more pronounced cellular atypia and increased mitotic activity (Fig. 3).  | Figure 3. Epithelial type hepatoblastoma. Fetal "mature" pattern (right side), embryonic "immature" area (left side). Increase .x200. H&E |
2. Discussion
In children, liver malignancies rank third among all intra-abdominal neoplasms, after adrenal neuroblastoma and Wilms nephroblastoma.The table below presents the results of immunohistochemical analysis for the diagnosis of hepatoblastoma. | Table 1 |
There are three main types of primary cellular liver tumors in children:1. Hepatoblastoma is the most common form of tumor.2. Hepatocellular carcinoma (HCC), usually affects adolescents who have tyrosinemia, which is a predisposing factor to the development of HCC.3. Hepatocellular neoplasia - usually manifests itself in late childhood or early adolescence. Since this form is distinguished by a mixed histological picture with signs of both hepatoblastoma and hepatocellular carcinoma, it was originally designated as transient hepatic cell carcinoma (TLCT). Hepatoblastoma is a rare malignancy that most often affects children under the age of 4 years. Worldwide, the incidence of this pathology is 1.2 cases per million children per year [4].Since hepatoblastoma is an extremely rare disease, the determining risk factors have not been clearly formulated, however, there are descriptions of some genetic syndromes, as well as an analysis of the impact of external factors on the parents of children with this disease.Such risk factors as Beckwith-Wiedemann syndrome, Wilms nephroblastoma, familial colorectal polyposis, glycogenosis, exposure to metals on the parents' body, tobacco smoking, and very low birth weight (VLBW) [5-7] are widely known. Cases of hepatoblastomas have also been reported in fetal alcohol syndrome [8], maternal liver transplantation with immunosuppressive therapy [9], and when taking oral contraceptives during pregnancy [10]. Among other risk factors for developing hepatoblastomas associated with the mother, it is worth mentioning such as: preeclampsia, lack of water, high body weight before pregnancy and the treatment of the expectant mother for infertility [6].Types of hepatoblastomas. Macroscopically, hepatoblastoma is a formation with clear contours, dense, more often single rather than multiple. Microscopically, most of the tumor consists of immature hepatocytes, which are called pure or epithelial. Some hepatocytes are grouped into small plates about two cells thick, which are also observed in the fetal liver, and are therefore known as the fetal type. Another type, known as embryonic, is represented by less mature cells, located mainly in the form of solid fields, with the presence of rosettes, chains and papillary structures. If the tumor consists of anaplastic small cells, then it belongs to the anaplastic type. Another type is a tumor with a tubular component similar to the epithelium of the bile ducts, which is known as cholangioblastic hepatoblastoma. Additionally, foci of bone marrow hematopoiesis and clusters of giant multinucleated cells can be detected. There are descriptions of other variants of hepatoblastomas resembling hepatocellular cancer, known as the macrothrabecular type. Nevertheless, approximately 25% of all hepatoblastomas belong to mixed-type tumors, the stromal component of which may be undifferentiated and/or represented by bone or cartilage tissue, resembling a Wilms tumor [7]. The International Group for the Development of a Strategy for the Treatment of Liver Tumors in Children (SIOPEL) has proposed a prognostic system for stratification of patients with hepatoblastoma, which takes into account the prerequisites for tumor formation, metastatic processes, AFP levels in blood serum, multiple foci, age, and histological structure with a predominance of small undifferentiated cells [11,12].
3. Conclusions
Despite a number of achievements in determining the molecular profile and prognosis, there are still many ambiguities and complex issues in the etiopathogenesis of hepatoblastoma. In light of this, it is especially important to combine the efforts of various research teams to further study the pathogenesis of this rare tumor in depth.
References
| [1] | Thomas J., George C.R., Thomas P. A Case Report on Neonatal Hepatoblastoma. Journal of Pediatric Disorders and Neonatal Care. 2018; 1(1). |
| [2] | Weiberg A.G., Finegold M.J. Primary hepatic tumours of childhood. HumPatho. 1983; 14: 512-537. |
| [3] | Willert J.R. Pediatric Hepatoblastoma. 2017: EMedicine by MedScape. |
| [4] | Macias R.I.R., Armengol C., Marin J.J.G. Hepatoblastoma etiopathogenesis. J Carcinog Mutagen. 2016; 7(1). |
| [5] | Ito E., Sato Y. Type 1a glycogen storage disease with hepatoblastoma in siblings. Cancer. 1987; 59: 1776-1780. |
| [6] | Pateva IB, Egler RA, Stearns DS. Hepatoblastoma in an 11-year old: Case report and a review of literature. Medicine. January. 2017; 96(2): e5858. |
| [7] | Rosai J. Liver tumours and tumour like conditions. Rosai and Ackerman’s Surgical Pathology. 10th edition. 2011. Elsevier Mosby: 953-955. |
| [8] | Khan A., Bader J.L., Hoy G.R. Hepatoblastoma in a child with fetal alcohol syndrome. Lancet. 1979; 1: 1403-4. |
| [9] | Roll C., Luboldt H.J., Winter A. Hepatoblastoma in a 2- year old child of a liver transplanted mother. Lancet. 1997; 349: 103. |
| [10] | Otten J., Smets R., DeJager R. Hepatoblastoma in an infant after oral contraceptive use during pregnancy. N Engl J Med. 1977; 297: 222. |
| [11] | Maibach R., Roebuck D., Brugieres L., Capra M., Brock P. Prognostic stratification for children with hepatoblastoma: The SIOPEL experience. Eur J Cancer. 2012; 48: 1543-1549. |
| [12] | Cairo S., Armengol C., De Reynies A., Wei Y., Thomas E. Hepatic stem-like phenotype and interplay of Wnt/beta-catenin and Myc signalling in aggressive childhood liver cancer. Cancer Cell. 2008; 14: 471-484. |
| [13] | Buendia M.A. Unravelling the genetics of hepatoblastoma: few mutations, what else? J Hepatol. 2014; 61(6): 1202-1204. |
| [14] | Armengol C., Cairo S., Fabre M., Buendia M.A. Wnt signalling and hepatocarcinogenesis: The hepatoblastoma model. Int J Biochem Cell Biol. 2011; 43(2): 265-270. |
| [15] | Cho SJ. Pediatric liver tumors: updates in classification. Surg Pathol Clin 2020; 13: 601-623. |
| [16] | Czauderna P, Lopez-Terrada D, Hiyama E, Häberle B, Malogolowkin MH, Meyers RL. Hepatoblastoma state of the art: pathology, genetics, risk stratification, and chemotherapy. Curr Opin Pediatr 2014; 26: 19-28. |