Khayot Khamidullaevich Yakubov, Gulbakhor Bakhshillaevna Juraeva, Tulkin Karimovich Nasirov
Tashkent State Medical University, Tashkent, Uzbekistan
Copyright © 2026 The Author(s). Published by Scientific & Academic Publishing.
This work is licensed under the Creative Commons Attribution International License (CC BY).
http://creativecommons.org/licenses/by/4.0/

Abstract
Acute oral poisoning remains a significant cause of mortality, posing a complex challenge for clinical toxicology and forensic medicine. The morphological evaluation of internal organ damage in these conditions is crucial for objectively establishing thanatogenesis, clarifying the mechanisms of toxic action, and improving the reliability of expert conclusions. The aim of this study was a comprehensive morphological assessment of changes in internal organs during acute oral poisoning of various etiologies from the perspective of their diagnostic and forensic significance. The study material consisted of autopsy and histological results from individuals who died of acute oral poisoning with phenobarbital, acetic acid, and ethyl alcohol. Autopsies were performed within 24 hours of death. Macroscopic examination was supplemented by histological analysis with hematoxylin-eosin (H&E) staining. The study established that the morphological pattern of acute oral poisoning is systemic, characterized by combined damage to vital organs. The brain exhibited signs of severe edema, venous congestion, and perivascular hemorrhages, reflecting hypoxic-toxic effects. In the lungs, edema, capillary congestion, and alveolar hemorrhages predominated, indicating impaired microcirculation and respiratory function. The liver was characterized by dystrophic changes in hepatocytes, centrilobular necrosis, and signs of fatty infiltration, pointing to a pronounced cytolytic syndrome. The kidneys revealed proximal tubular epithelial necrosis and interstitial edema, corresponding to the development of acute renal failure. Dystrophic changes in cardiomyocytes and microcirculatory disorders were noted in the myocardium. Thus, morphological evaluation in acute oral poisoning allows for objective confirmation of systemic toxic damage, clarifies the mechanism of death, and significantly increases the informativeness of forensic diagnostics, especially when combined with clinico-toxicological and laboratory data.
Keywords:
Forensic toxicology, Morphological pattern, Acute poisoning, Ethyl alcohol, Phenobarbital
Cite this paper: Khayot Khamidullaevich Yakubov, Gulbakhor Bakhshillaevna Juraeva, Tulkin Karimovich Nasirov, Morphological Evaluation of Acute Oral Poisoning, American Journal of Medicine and Medical Sciences, Vol. 16 No. 2, 2026, pp. 803-806. doi: 10.5923/j.ajmms.20261602.86.
1. Introduction
Acute oral poisoning continues to hold a leading position in the structure of exogenous mortality and remains an urgent medico-social and forensic problem. According to national and international studies, intoxications with medications, alcohol, and industrial or household chemicals are consistently among the main causes of sudden and violent death, particularly among individuals of working age. Despite the advancement of analytical toxicology and the introduction of high-sensitivity laboratory methods, establishing the immediate mechanism of death remains difficult in a significant number of cases. Frequently, a low-toxicity chemical substance becomes a potent poison as a result of metabolic transformations within the organism itself [1,2]. Forensic diagnosis of acute poisoning is complicated by the lack of clinical history in most cases, the absence of specific morphological signs, and the vast variety of combined poisons, along with the limitations of existing methods for detecting toxins in biological media [3,4]. Literature data indicate that the concentration of a toxicant in biological fluids does not always correlate with the clinical severity of intoxication or the lethal outcome. This is due to individual reactivity, comorbidities, metabolic rate, and the specific toxicodynamics of the substance. In this regard, the morphological assessment of organ and tissue damage takes on special significance, allowing for an objective judgment of the depth and systemic nature of toxic damage [5,6,7]. Several authors emphasize that morphological signs of a hypoxic, cytotoxic, and hemodynamic nature reflect the final links of thanatogenesis in acute intoxications [8,9,10].Current publications note insufficient unification of morphological criteria for diagnosing death from acute oral poisoning and fragmented data on pathomorphological changes across different groups of toxicants. This leads to variability in forensic conclusions and reduces their evidentiary value [11,12,13]. Thus, the in-depth study of morphological changes in acute oral poisoning based on the analysis of modern literature and practical forensic material is an urgent direction aimed at improving the diagnosis of causes of death and forming scientifically grounded criteria for evaluating lethal outcomes.Study Objective The objective of this study is to identify and scientifically substantiate morphological diagnostic criteria and evaluate the mechanism of death in acute oral poisonings to enhance the accuracy of forensic medical expert conclusions.
2. Materials and Methods
The research material comprised the medical histories and forensic medical expert reports of 78 victims of acute poisoning, supplemented by personal observations (forensic examinations) of 32 cadavers of individuals who died from acute oral poisoning with phenobarbital, acetic acid, and ethyl alcohol. Autopsy examinations were performed no later than 24 hours after the onset of death. Following the macroscopic description of internal organs and the systematic entry of all identified changes into a computerized database, histological examinations were conducted. For histological analysis, tissue samples were fixed in 10% formalin and embedded in paraffin blocks. Histological sections were subsequently stained with hematoxylin and eosin (H&E).
3. Results and Discussion
The study was conducted at the Republican Scientific and Practical Center of Forensic Medicine and its branches between 2021 and 2025. A total of 110 cases were analyzed, including clinical, laboratory, toxicological, and morphological data.Table 1. Distribution of studied cases by outcome (n = 110)  |
| |
|
The majority of those who died from acute poisoning exhibited severe disturbances in acid-base balance, primarily metabolic acidosis (81.6%), reflecting the severity of hypoxic and toxic tissue damage. A significant frequency of dyselectrolytemia (71.1%) and cytolytic syndrome (76.3%) indicates systemic damage to cell membranes and enzyme systems. Signs of acute renal failure were recorded in 63.2% of cases.Histopathological Analysis of the Myocardium. In the examined histological preparations, the myocardium is represented by bundles of cardiomyocytes arranged unevenly, with pronounced signs of acute toxic-hypoxic damage. The architecture of the muscle fibers is disrupted. Cardiomyocytes in some areas are sharply eosinophilic, with a loss of normal transverse striation. Fragmentation and wavy deformation of muscle fibers are observed, as well as foci of dissociation with widening of the intermuscular spaces. In some areas, contracture changes in cardiomyocytes with densification of the sarcoplasm are identified, which is considered an early morphological sign of acute myocardial damage. The nuclei of cardiomyocytes are heterogeneous: some are hyperchromic and elongated, while others exhibit karyopyknosis or karyolysis. Vacuolization of the sarcoplasm is noted in several cardiomyocytes, reflecting metabolic dystrophy. The stroma of the myocardium is edematous, and intermuscular spaces are expanded. Capillaries and venules are sharply congested, occasionally showing signs of stasis. Diapedetic hemorrhages are determined in individual fields of vision. An inflammatory cellular reaction is absent, which corresponds to an acute, necrotic-dystrophic process of non-infectious genesis (Fig. 1). | Figure 1. Myocardium represented by bundles of cardiomyocytes arranged unevenly, with pronounced signs of acute toxic-hypoxic damage. Stained with H&E, mag. 10x20 |
The architecture of the muscle fibers is disrupted. Cardiomyocytes in some areas are sharply eosinophilic, with a loss of normal transverse striation. Fragmentation and wavy deformation of muscle fibers are observed. The nuclei of cardiomyocytes are heterogeneous: some are hyperchromic and elongated, while others exhibit karyopyknosis, and in some places, karyolysis. Morphological Findings in Other Organs. Morphological examination of the corpses of individuals who died from acute oral poisoning revealed a complex of typical histological changes, indicating systemic toxic damage to the body and the development of severe hypoxic-metabolic disorders. Brain: In all observations, signs of pronounced cerebral edema, expansion of perivascular spaces, venous congestion, and focal perivascular hemorrhages were noted. These findings reflect impaired microcirculation and hypoxic damage to the nervous tissue. Liver: Dystrophic changes in hepatocytes predominated, with the development of fatty degeneration (steatosis) of varying degrees of severity. In the central zones of the hepatic lobules, areas of centrilobular necrosis were identified, indicating the high sensitivity of hepatocytes to toxic effects and ischemia. | Figure 2. Hepatocytes are predominantly enlarged, with pale, granular cytoplasm showing pronounced signs of acute toxic dystrophy. Stained with H&E, mag. 10x20 |
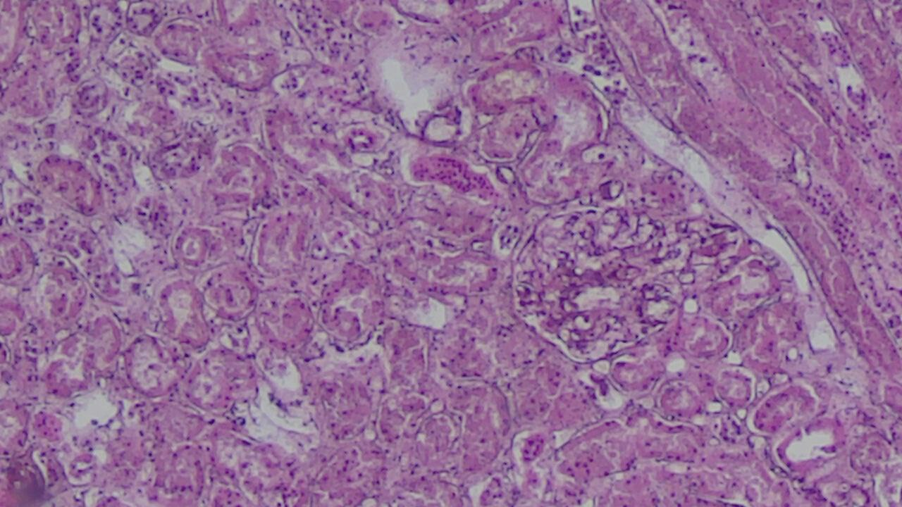
In a number of liver tissue cells, vacuolization of the cytoplasm is observed, in some areas progressing to hydropic dystrophy. The nuclei of hepatocytes are heterogeneous, with detectable karyopyknosis and focal karyolysis, indicating initial necrobiotic changes.Kidneys: Characteristic findings included pronounced dystrophic changes and necrosis of the epithelium of the convoluted tubules, accompanied by interstitial edema and vascular congestion. This corresponds to the morphological picture of acute toxic nephropathy and acute renal failure. The basement membranes of the tubules are generally preserved. The interstitial tissue is moderately edematous, and the microcirculatory vessels are sharply congested, occasionally showing signs of stasis. The lumina of the tubules are unevenly dilated and, in some places, filled with proteinaceous masses, which is consistent with the pattern of acute tubular necrosis. | Figure 3. Glomeruli are generally preserved in configuration; however, some exhibit congestion of the capillary loops, and in certain areas, their moderate collapse. The lumina of the tubules are unevenly dilated and partially filled with proteinaceous masses, consistent with the pattern of acute tubular necrosis. Stained with H&E, mag. 10x20 |
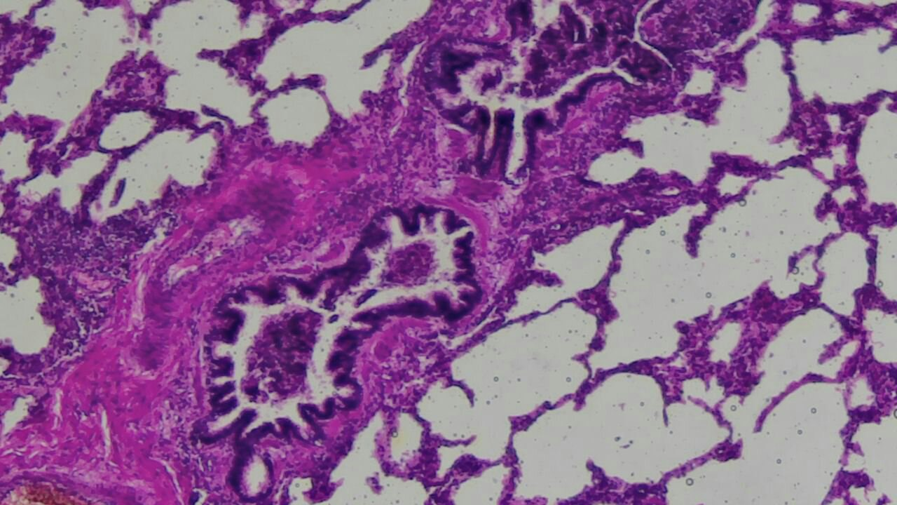
Lungs: Signs of acute lung injury were identified: pronounced interstitial and alveolar edema, capillary congestion, and focal alveolar hemorrhages. These findings reflect severe hemodynamic disturbances and respiratory dysfunction. Heart: Dystrophic changes in cardiomyocytes were noted, including vacuolization, loss of transverse striation, and microcirculatory disorders. This evidence points to toxic-hypoxic myocardial damage and its significant role in thanatogenesis during acute intoxications. | Figure 4. Lung tissue with pronounced signs of acute toxic-hypoxic injury and microcirculatory disorders. Alveoli are unevenly dilated, in some areas sharply overdistended, with focal areas of alveolar collapse. Stained with H&E, mag. 10x20 |
The lumina of a significant portion of the alveoli are filled with pale eosinophilic proteinaceous exudate, consistent with pulmonary edema. Individual alveoli show an admixture of erythrocytes, reflecting diapedetic alveolar hemorrhages. The interalveolar septa are thickened due to pronounced edema and are sharply congested with signs of venous stasis. Capillaries are dilated, occasionally showing phenomena of stasis. Focal infiltration of the septa by occasional mononuclear elements is noted, without the formation of an inflammatory infiltrate.General Discussion of Morphological Findings A comprehensive histological study of the internal organs (heart, liver, kidneys, lungs) revealed a unified complex of morphological changes characteristic of acute exogenous poisoning with a toxic-hypoxic mechanism of thanatogenesis.The sum of the identified histological changes in the internal organs indicates systemic toxic damage to the organism resulting from acute exogenous poisoning. The morphological pattern corresponds to a rapid, fulminant course of intoxication, accompanied by severe tissue hypoxia, impaired microcirculation, and metabolic disorders. These changes have direct thanatogenetic significance and could lead to death due to the combined development of acute cardiovascular and respiratory failure against a background of systemic toxic effects.
4. Conclusions
The study demonstrated that acute oral poisonings are accompanied by the development of pronounced and systemic morphological changes in the internal organs, reflecting complex toxic-hypoxic damage to the organism. The identified pathomorphological changes are consistent and result from the direct toxic action of poisons, microcirculatory disturbances, tissue hypoxia, and metabolic disorders. The findings confirm the high diagnostic value of morphological examination in the forensic medical evaluation of acute oral poisoning. A comprehensive interpretation of morphological changes in combination with toxicological and clinical laboratory data allows for a more accurate determination of the mechanism of death, objectifies expert findings, and increases the reliability of forensic medical conclusions. The results of the study can be used to improve the practice of forensic medical examination and to develop unified morphological criteria for the diagnosis of lethal poisonings.
References
| [1] | Abdurakhmanov, M. M., & Kuvatov, Z. Kh. (2021). Systemic inflammatory response in patients with acute acetic acid poisoning. Journal of Theoretical and Clinical Medicine, (4), 49–51. (In Russ.). |
| [2] | Akalaev, R. N. (2019). Suicidal and parasuicidal actions in acute exogenous poisonings. Herald of Emergency Medicine, 12(6), 81–87. (In Uzb.). |
| [3] | Aubakirov, D. A. (2018). Comparative analysis of changes in acid-base status of blood in acetic acid poisoning. In Modern Medicine: New Approaches and Current Research: Proceedings of the IX International Scientific and Practical Conference (pp. 107–111). (In Russ.). |
| [4] | Barsegyan, S. S., & Tuchik, E. S. (2021). Features of post-mortem forensic medical diagnosis of organophosphorus nerve agents. In Dedicated to the 90th Anniversary of the Foundation (pp. 11–17). Moscow. (In Russ.). |
| [5] | Vorobyova, V. V., Zarubina, I. V., & Shabanov, P. D. (2017). Improving methods for treating organophosphorus compound poisoning using metabolic protectors metaprot and etomerzol. Bulletin of the Smolensk State Medical Academy, 16(4), 5–11. (In Russ.). |
| [6] | Bogomolov, D. V., Putintsev, V. A., & Denisova, O. P. (2013). Prospects for the development of morphological diagnostics in forensic medicine. Forensic Medical Examination, (3), 52–54. (In Russ.). |
| [7] | Zimina, L. N., & Mikhailova, G. V. (2011). Morphological diagnosis of acute poisoning. Archive of Pathology, 73(1), 38–42. (In Russ.). |
| [8] | Kalekin, R. A., & Volkova, E. D. (2018). Forensic chemical and morphological analysis in combined poisoning. Forensic Medicine, 4(1), 25–29. (In Russ.). |
| [9] | Naumov, E. S. (2015). Pathomorphology of internal organs in oral poisoning with aggressive liquids. Moscow: Meditsina. 180 p. (In Russ.). |
| [10] | Pigolkin, Yu. I., & Dolzhansky, O. V. (2012). Atlas of pathological anatomy of acute poisoning. Moscow: GEOTAR-Media. 240 p. (In Russ.). |
| [11] | Baselt R. C. Disposition of Toxic Drugs and Chemicals in Man. – 12th ed. – Seal Beach: Biomedical Publications, 2020. – 2400 p. |
| [12] | Flomenbaum N. E., Goldfrank L. R., Hoffman R. S. et al. Goldfrank's Toxicologic Emergencies. – 11th ed. – New York: McGraw-Hill Education, 2019. – 2112 p. |
| [13] | Hampson N. B., Piantadosi C. A. Pathological findings in acute drug-induced organ toxicity // Journal of Clinical Pathology. – 2016. – Vol. 69. – No. 3. – P. 189-195. |