Yuldashev Kahramonjon Shukurjon ugli1, Mahkamov Nosirjon Juraevich2
1Fergana Public Health Medical Institute, Independent Researcher, Uzbekistan
2Andijan State Medical Institute, DSc, Professor, Uzbekistan
Correspondence to: Yuldashev Kahramonjon Shukurjon ugli, Fergana Public Health Medical Institute, Independent Researcher, Uzbekistan.
| Email: |  |
Copyright © 2026 The Author(s). Published by Scientific & Academic Publishing.
This work is licensed under the Creative Commons Attribution International License (CC BY).
http://creativecommons.org/licenses/by/4.0/

Abstract
Post-traumatic polypoid rhinosinusitis, which develops following nasal septal trauma, is a common inflammatory disorder affecting the nasal cavity and paranasal sinuses. Its histopathological characteristics are critical for identifying the morphological features of polyp formation and inflammatory processes in nasal tissues. This study analyzes the histological changes observed in post-traumatic polypoid rhinosinusitis, including epithelial hyperplasia, stromal lymphocytic and plasmacytic infiltration, fibrosis, and vascular remodeling. Immunohistochemical analysis further elucidated the distribution and activity of immune cells involved in the inflammatory response. Age and sex were found to influence the severity and pattern of morphological alterations: younger patients demonstrated pronounced inflammatory infiltration and epithelial proliferation, middle-aged patients exhibited increased fibrotic remodeling, and older patients primarily showed stromal fibrosis with reduced inflammation. Male patients were more frequently affected than females, with the highest prevalence observed in the 23–33-year age group. Histological assessment provides essential insight into the clinical presentation, progression, and potential complications of post-traumatic polypoid rhinosinusitis. This study contributes valuable information to support early diagnosis, targeted therapeutic strategies, and clinical decision-making for otorhinolaryngologists and clinical researchers.
Keywords:
Polypoid rhinosinusitis, Nasal septal trauma, Histopathology, Inflammation, Fibrosis, Age-related changes, Immunohistochemistry
Cite this paper: Yuldashev Kahramonjon Shukurjon ugli, Mahkamov Nosirjon Juraevich, Clinical and Pathomorphological Profile of Polypoid Rhinosinusitis Developing After Nasal Septal Trauma, American Journal of Medicine and Medical Sciences, Vol. 16 No. 2, 2026, pp. 731-736. doi: 10.5923/j.ajmms.20261602.71.
1. Introduction
Chronic rhinosinusitis with nasal polyps (CRSwNP) is a persistent inflammatory condition characterized by swelling of the sinonasal mucosa and formation of polyps, leading to significant impairment in quality of life, including nasal obstruction, rhinorrhea, and olfactory dysfunction [1,2]. The pathogenesis of CRSwNP involves persistent mucosal inflammation and tissue remodeling, which necessitates detailed clinical and histopathological evaluation for understanding disease progression and optimizing treatment [3,4]. Histopathological studies have demonstrated that nasal polyp tissues frequently exhibit eosinophilic infiltration, epithelial hyperplasia, and stromal remodeling, which are key indicators of chronic inflammatory processes and correlate with disease severity [5,6].Structured classification of nasal polyps into eosinophilic, fibrous, and mixed inflammatory subtypes has provided insights into the heterogeneous nature of CRSwNP and informs personalized management strategies [1,4]. Quantitative assessments of eosinophil counts and goblet cell hyperplasia have been shown to correlate with clinical severity, risk of recurrence, and the need for revision surgery [5,7]. Additionally, studies highlight that tissue eosinophilia and stromal remodeling are fundamental features underlying disease pathogenesis and recurrence, emphasizing the importance of precise histopathological analysis in guiding therapeutic decisions [3,6].Furthermore, sinonasal polyps often coexist with comorbid conditions such as asthma and allergic rhinitis, which contribute to systemic and local inflammatory responses, impacting disease severity and treatment outcomes [8,9,10]. Longitudinal analyses of histopathological changes demonstrate variable inflammatory cell patterns over time, reinforcing the need for continual morphological evaluation in both primary and recurrent CRSwNP cases [11,12]. Collectively, these findings underscore the clinical relevance and scientific significance of studying the morphological characteristics of polypoid inflammation, including post-traumatic polypoid rhinosinusitis, to improve diagnostic accuracy and optimize patient-specific therapeutic strategies [1,12].Purpose of the StudyTo investigate the clinical and pathomorphological features of posttraumatic nasal polyposis and, thereby, to elucidate the morpho-functional mechanisms of the disease and provide a scientific basis for improving diagnostic and therapeutic strategies.
2. Material and Methods
The study included 121 patients (76 males and 45 females) aged 12 to 70 years who were treated for post-traumatic nasal polyposis at the Fergana Regional Pathology Bureau between 2020 and 2024. Patients were categorized into five age groups: 12–22, 23–33, 34–44, 45–55, and 56–70 years. The largest proportion of patients belonged to the 23–33 years age group (41.3%), while the smallest proportion was in the 56–70 years group (4.1%).Clinical data, including age, sex, disease duration, and main morphological types of nasal polyps, were collected from hospital records. Hospitalization duration ranged from 0–1 day to 8–15 days, with the majority of patients treated for 4–7 days (34.7%).For histopathological analysis, tissue samples measuring 1.5 × 1.5 cm were obtained from the nasal polyps. Specimens were fixed in 10% neutral buffered formalin for at least 48 hours. Following fixation, tissues were dehydrated, cleared, and embedded in paraffin. Sections of 4-5 μm thickness were prepared and stained with hematoxylin-eosin. Histopathological examination was performed using a ZEISS Primo Star microscope. Morphological analysis focused on epithelial hyperplasia, stromal lymphocytic and plasmacytic infiltration, fibrosis, and vascular remodeling.
3. Results
During the study, the clinical and histopathological features of post-traumatic polypoid rhinosinusitis were investigated in 121 patients treated at the Fergana Regional Bureau of Pathological Anatomy between 2020 and 2024. Based on age, sex, and medical history, the patients were stratified into five age groups: Group 1, 12-22 years, Group 2, 23–33 years, Group 3, 34-44 years, Group 4, 45-55 years, and Group 5, 56-70 years. The results indicated that the highest prevalence of post-traumatic polypoid rhinosinusitis occurred in Group 2 (23-33 years), accounting for 41.3% of the total cases. The lowest prevalence was observed in Group 5 (56–70 years), with only 5 patients (1 female and 4 males) affected. The remaining age groups exhibited intermediate prevalence rates (see Figure 1). | Figure 1. Distribution of patients with post-traumatic nasal polyposis included in the planned study. Analysis based on age, sex, and incidence (%) |
Among the 121 patients analyzed, post-traumatic nasal polyposis following nasal septum injury was most frequently observed in the 23–33 years age group (41.3%, n = 50), followed by the 12–22 years age group (37.2%, n = 45). Thus, 78.5% of patients belonged to the young and middle-aged active population. The incidence of the disease was relatively lower among older patients (45–70 years), accounting for 9.9% of the total cases. Analysis by sex revealed that in all age groups, the number of male patients exceeded that of females, with males comprising 62.8% of the overall cohort. This indicates that post-traumatic nasal polyposis predominantly affects young and middle-aged men.These findings suggest that post-traumatic nasal polyposis is more common among young and physically active individuals, particularly males, which may be associated with higher levels of physical activity, sports participation, and domestic injuries (see Figure 2). | Figure 2. Age distribution of patients with posttraumatic polypoid rhinosinusitis, expressed as percentage of total cases |
During the study, 121 patients were observed in the hospital for a period ranging from 0 to 15 days. The analysis showed that the fewest patients were hospitalized for 0–1 day (n = 18, 14.9%). Subsequent counts were recorded for patients hospitalized for 2–3 days and 8–15 days. The highest proportion of patients (n = 42, 34.7%) was observed in the 4–7 day hospitalization group, representing the largest segment of the study population (see Figure 3). | Figure 3. Distribution of patients by duration of hospital stay (%) |
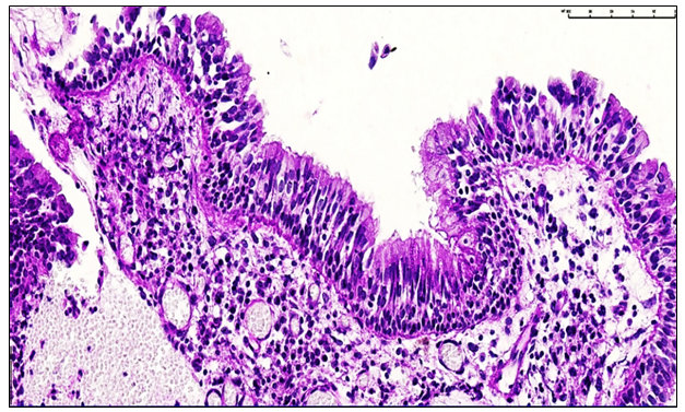
During our study, the clinical and pathomorphological changes in post-traumatic nasal polypoid rhinosinusitis were systematically analyzed. Chronic inflammation of the nasal mucosa led to epithelial metaplasia, lymphocytic and eosinophilic infiltration in the stroma, and fibrotic remodeling. These processes contributed to polypoid overgrowth and partial obstruction of the airways.An allergic background was identified in 23.3% of patients, indicating a chronic course and type III hypersensitivity involvement. Age was a significant factor, with the highest incidence observed in patients aged 18–44 years, which may be associated with active lifestyle, physical activity, and domestic injuries.The progression of polypoid rhinosinusitis was categorized according to the post-trauma period: Group 1 (1–1.5 years), Group 2 (1.5–3 years), Group 3 (3–5 years), and Group 4 (≥5 years). The majority of patients (Group 1, 24%) demonstrated predominant serous inflammation, low density of stromal fibers, and ongoing fibrotic changes.Microscopic and clinical analyses confirmed the main pathogenetic features of polypoid rhinosinusitis: mucosal polypoid overgrowth, epithelial metaplasia, stromal lymphocytic and eosinophilic infiltration, and congestion of small blood vessels. These alterations resulted in airway obstruction and impaired mucociliary clearance.Group 1 (1.0–1.5 years post-nasal trauma): Patients presenting within 1.0–1.5 years after nasal tissue injury accounted for 24% of the study cohort. Morphologically, the nasal mucosa demonstrated predominant serous inflammation, a low density of fibrous structures within the stromal layer, ongoing granulation tissue formation, and sparse fibrotic changes in the connective tissue, indicating early-stage reparative and adaptive processes. (see Figure 4). | Figure 4. Chronic polypoid rhinosinusitis, 1.5 years post-nasal trauma. Focal epithelial hyperplasia and lymphoid cell infiltration are observed in the mucosal lining, with sparse neutrophils. Interstitial edema is present among lymphocytes in the glandular stroma. Staining: H&E, magnification ×100 |
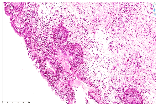
Group 2 (1.5–3 years post-nasal trauma): Morphological analysis revealed that in patients of this group, the secretory activity of the nasal mucosa and submucosa moderately decreased compared to Group 1, reflecting adaptive changes following chronic inflammation. Histologically, the mucosa exhibited mild hyperplastic responses, with proliferation of plasma cells, lymphocytes, macrophages, and hyperplasia of lymphoid MALT structures, leading to limited polypoid growth. The epithelium showed focal metaplasia and irregular multilayered arrangements. Vascular congestion persisted, while stromal mucoid accumulation and lymphoplasmacytic infiltration were observed, accompanied by sparse segmental neutrophils (×200), indicating a lower reactive inflammatory activity relative to Group 1. Overall, polypoid lesions in this group demonstrated reduced mucosal volume and less pronounced inflammatory reactivity, consistent with chronic adaptation of the mucosa (see Figure 5). | Figure 5. Chronic fibrotic nasal polyposis, Group 2 (1.7 years post-nasal trauma): The covering epithelium of the nasal mucosa exhibits mild hyperplasia and focal lymphocytic infiltration, with a sparse presence of neutrophils. Within the glandular stroma, cystic dilations and signs of vascular congestion are observed. Staining method: H&E, magnification 10×10 |
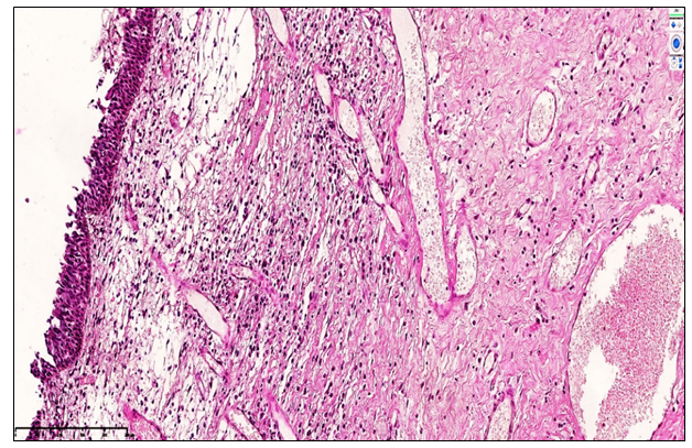
Group 3 (3-5 years post-nasal trauma): During the 3–5 year period following nasal trauma, chronic polypous rhinosinusitis was characterized by pronounced atrophic and structural changes in the nasal mucosa. The mucosal surface exhibited flattening with extensive epithelial metaplasia. Compared to Groups 1 and 2, morphofunctional activity markedly decreased, with basal membrane thickening, vascular congestion, stromal fibrosis, and scattered lymphoid infiltration. Glandular elements were reduced in size, and secretions appeared dense and cystic.Stromal changes included proliferation of fibroblasts, histiocytes, and plasma cells, alongside disorganized collagen bundles. The mucosa showed impaired mucociliary transport due to epithelial flattening, reduced ciliated cells, and accumulation of proteinaceous material. Lymphoid structures of MALT were atrophic, with diminished germinal centers and sparse T- and B-lymphocytes, indicating hyporeactive chronic inflammation.Clinically, these features correspond to the classical presentation of chronic polypous rhinosinusitis with fibrotic and glandular degeneration, cystic polyp formation, vascular sclerosis, and stromal remodeling. In a minority of cases, focal neutrophilic infiltration suggested secondary bacterial involvement. Overall, the findings demonstrate progressive atrophic, fibrotic, and hyporeactive changes in the nasal mucosa during the 3–5 year post-trauma period (see Figure 6). | Figure 6. Chronic polypous rhinosinusitis, Group 3. At 3.5 years post-nasal trauma, the nasal mucosa epithelium exhibits atrophy, desquamation, and focal lymphocytic infiltration. In the glandular stroma, interstitial swellings are observed among lymphocytes. Staining: H&E; Magnification: 10×10 |
In our study, during the 3–5-year period following nasal septum injury, chronic polypous rhinosinusitis was characterized predominantly by atrophic and sclerotic changes. The mucosal epithelium exhibited atrophy, desquamation, and erosive areas. Secretory glands demonstrated cystic dilation and perivascular fibrosis, while stromal eosinophilic and lymphoplasmacytic infiltrates were reduced, accompanied by increased fibroblast and histiocyte proliferation and stromal fibrosis. Small-caliber blood vessels showed signs of neoangiogenesis, and MALT structures were reduced in size. These alterations indicate a hyporeactive inflammatory process and a marked decline in mucosal morphofunctional integrity.
4. Conclusions
The present study comprehensively analyzed the clinical and pathomorphological features of post-traumatic polypoid rhinosinusitis, providing critical insight into the morphofunctional alterations occurring in the nasal mucosa following nasal septal injury. The findings demonstrate that post-traumatic nasal polyposis predominantly affects young and middle-aged male patients, with the highest prevalence observed in the 23–33-year age group. This demographic trend likely reflects increased exposure to physical activity, domestic injuries, and trauma-related risk factors in this population.Histopathological evaluation revealed a temporal progression of mucosal changes, corresponding to the duration post-trauma. Early stages (1–1.5 years) were characterized by active serous inflammation, epithelial hyperplasia, and sparse stromal fibrosis, reflecting initial reparative and adaptive processes. Intermediate stages (1.5–3 years) demonstrated moderate epithelial metaplasia, proliferation of immune cells, lymphoid MALT hyperplasia, and vascular congestion, indicative of adaptive remodeling and a gradual decline in inflammatory reactivity. In the late stages (3–5 years), chronic polypoid rhinosinusitis exhibited pronounced atrophic, fibrotic, and sclerotic alterations. These included epithelial flattening, extensive stromal fibrosis, cystic glandular changes, neoangiogenesis, and hyporeactive lymphoplasmacytic infiltration, collectively demonstrating a progressive decline in mucosal morphofunctional integrity and mucociliary clearance.The study underscores that post-traumatic polypoid rhinosinusitis is a dynamic disease process, wherein age and duration post-injury are key determinants of the severity and nature of morphological alterations. Younger patients exhibited more pronounced inflammatory responses and epithelial proliferation, while middle-aged and older patients were more prone to fibrotic remodeling and glandular atrophy. These findings highlight the importance of longitudinal monitoring of patients with nasal trauma, as structural remodeling and hyporeactive chronic inflammation may predispose to persistent nasal obstruction, impaired mucociliary transport, and secondary infectious complications.Additionally, the identification of hyporeactive chronic inflammation, cystic glandular dilation, and stromal fibrosis provides a histopathological basis for the reduced efficacy of conservative treatments in late-stage post-traumatic nasal polyposis. The study emphasizes the need for early diagnosis and timely intervention to prevent irreversible structural changes and optimize therapeutic outcomes. Immunohistochemical and morphometric evaluations further support the concept that targeted management strategies should consider both the inflammatory and structural components of the disease, particularly in patients with prolonged post-traumatic evolution.In conclusion, this investigation provides a comprehensive clinical and pathomorphological framework for understanding post-traumatic polypoid rhinosinusitis. The detailed correlation between patient demographics, post-trauma duration, and mucosal remodeling advances the scientific understanding of disease progression and establishes an evidence-based foundation for the development of personalized diagnostic and therapeutic strategies in otorhinolaryngology. These findings not only enhance clinical decision-making but also inform future research on the prevention, management, and long-term outcomes of post-traumatic nasal polyposis.
References
| [1] | Brescia G, Alessandrini L, Giacomelli L, Parrino D, Zanotti C, Tealdo G, et al. A classification of chronic rhinosinusitis with nasal polyps based on structured histopathology. Histopathology. 2020; 76(2): 296-307. |
| [2] | Mortuaire G, Leroy X, Gengler I, Chevalier D, Prin L, Picry A. Histopathological classification of refractory chronic rhinosinusitis with nasal polyps. Histol Histopathol. 2015; 30(12): 1447-1454. |
| [3] | Kuhar HN, Tajudeen BA, Mahdavinia M, Gattuso P, Ghai R, Batra PS, et al. Inflammatory infiltrate and mucosal remodeling in chronic rhinosinusitis with and without polyps: structured histopathologic analysis. Int Forum Allergy Rhinol. 2017; 7(7): 679-689. |
| [4] | Snidvongs K, Lam M, Sacks R, Earls P, Kalish L, Phillips PS, et al. Structured histopathology profiling of chronic rhinosinusitis in routine practice. Int Forum Allergy Rhinol. 2012; 2(5): 376-385. |
| [5] | Enache I, Ioniță E, Mitroi M, Anghelina F, Mogoantă C, Ciolofan S, et al. Histopathological features of chronic rhinosinusitis with nasal allergic polyps. Curr Health Sci J. 2020; 46(1): 66-71. |
| [6] | Could eosinophilia predict clinical severity in nasal polyps? Multidisciplinary Respiratory Medicine. 2017; 12. |
| [7] | Mansour M, Hernandez-Prera JC. Histopathology of chronic rhinosinusitis and sinonasal inflammatory polyps. Head Neck Pathol. 2025; 19(1): 35-45. |
| [8] | Marino MJ, Garcia JO, Zarka MA, Lal D. Inflammatory cell predominance and patterns in chronic rhinosinusitis with and without nasal polyposis patients. Laryngoscope Investig Otolaryngol. 2019; 4(6): 573-577. |
| [9] | Shin SH, Ye MK, Kim JK, Cho CH. Histological characteristics of chronic rhinosinusitis with nasal polyps: recent 10year experience of a single center in Daegu, Korea. Am J Rhinol Allergy. 2014; 28(2): 95-98. |
| [10] | Tan BK, Chandra RK, Pollak J, et al. A review of classification schemes for chronic rhinosinusitis with nasal polyposis endotypes. Curr Allergy Asthma Rep. 2017; 17(3): 16. |
| [11] | Smith KA, Bibee K, Hulse KE. Histopathological analysis in allergic fungal rhinosinusitis versus chronic rhinosinusitis with nasal polyps. Laryngoscope. 2024; 134(9): 2617-2621. |
| [12] | Won H-K, Kim Y-C, Kang M-G, Park H-K, Lee S-E, Kim M-H, et al. Classification of chronic rhinosinusitis according to nasal polyp and tissue eosinophilia: limitations for Asian populations. Allergy Rhinol (Providence). 2017; 8(2): 123-130. |