Sh. K. Bobokhonov1, S. M. Akhmedova2
1Tashkent State Medical University, Termiz Branch, Uzbekistan
2Tashkent State Medical University, Uzbekistan
Copyright © 2025 The Author(s). Published by Scientific & Academic Publishing.
This work is licensed under the Creative Commons Attribution International License (CC BY).
http://creativecommons.org/licenses/by/4.0/

Abstract
This article experimentally studied the effect of the development of metabolic syndrome in the mother's body on the morphology of the heart of the offspring. The experiment was conducted on the example of rats, and the structure and histological changes in the hearts of children from the control and metabolic syndrome groups were analyzed. During the study, lipid metabolism, glucose content, arterial vessel diameter, and the dynamics of dystrophic changes in myocardial tissue were assessed using morphometric and histological methods. According to the results, it was found that children born against the background of metabolic syndrome have a high risk of developing pathomorphological changes in the heart, such as disorganization of connective fibers in the walls of dystrophic arterioles and capillaries, as well as changes in the form of protein dystrophy of myocardial muscle fibers, myofibril fibrils.
Keywords:
Metabolic syndrome, Heart morphology, Fetal development, Lipid metabolism, Myocardial dystrophy, Arterial vessels
Cite this paper: Sh. K. Bobokhonov, S. M. Akhmedova, The Influence of Experimental Metabolic Syndrome on Heart Morphology of Offenders, American Journal of Medicine and Medical Sciences, Vol. 15 No. 12, 2025, pp. 4702-4706. doi: 10.5923/j.ajmms.20251512.112.
1. Introduction
Metabolic syndrome has become a major global health problem. It is known to include several pathological conditions, such as obesity, hypertension, insulin resistance, hyperglycemia, and dyslipidemia. In particular, when this syndrome is observed in the mother, it has a significant impact not only on the health of the mother, but also on the development of the fetus and the early onset of cardiovascular diseases in the child's later life [1,9].Objectives: Studies have shown that metabolic disorders in the mother can affect the formation of the heart, vascular structure, and function of the fetus. This is associated with the concept of "fetal programming", in which the child's body undergoes certain epigenetic changes in the process of adaptation to pathologies in the mother's body. As a result, the child is predisposed to atherosclerosis, hypertension, insulin resistance, and other cardiovascular diseases [2,4,7].Hyperglycemia and hyperinsulinemia associated with metabolic syndrome in some women disrupt the normal development of the fetal cardiovascular system. This process increases the risk of congenital heart defects, tachycardia, arrhythmias, or subsequent cardiac dysfunction in the child [3,8]. Maternal obesity is also a high risk factor [4]. Obesity can lead to impaired lipid and glucose metabolism in the fetus, hypertrophy of the heart muscle tissue, and functional insufficiency [5].Therefore, early detection, correction, and preventive measures for metabolic syndrome in women of reproductive age are important not only for protecting maternal health, but also for the healthy development of the future generation and the prevention of cardiovascular diseases.Taking the above into account, we set ourselves the goal of studying the heart morphology of offspring born to mothers with metabolic syndrome.
2. Materials and Methods
The studies were conducted from 2022 to 2025 in the vivarium of the Termez branch of the Tashkent Medical Academy. For the study, 15 white laboratory mother rats weighing 160-180 grams and 120 baby rats born from them were used. The white rats taken for the experiment were divided into 2 groups.The first group was the control group, consisting of 7 female rats weighing 180-220 grams, without clinical signs of somatic and infectious diseases. The rats in the control group were constantly fed a traditional diet, with free access to food and water. After the rats became pregnant and gave birth to their offspring, 1.0 ml of saline solution was injected into the stomach of the mother rats every morning during the lactation period. A transvaginal catheter was used as a probe.In the second group, we induced an experimental metabolic syndrome model in 8 female rats weighing 180-220 grams. After the rats were healthy, and signs of infectious and somatic diseases were excluded, they were fed a diet rich in fat and carbohydrates. The diet of the rats consisted of 60% laboratory food, 20% mutton fat, and 20% fructose. Drinking water was replaced with a 20% fructose solution. After the start of the experiment, male rats were added to the female rats until it was confirmed that metabolic syndrome had been induced, and during the period of pregnancy, the female rats were fed a full diet rich in fat and carbohydrates.Laboratory white rats in the control and experimental groups were kept under the same conditions of the vivarium. The number of rats in each cage did not exceed 6. Rat pups were euthanized under ether anesthesia on days 3, 7, 14, 21, and 28 after birth. The body weights of the control and experimental laboratory white rats were measured. Blood was also collected from the tail vein of the mother and pups, and the levels of glucose, triacylglycerol, total cholesterol, LDL (low-density lipoprotein), and HDL (high-density lipoprotein) were determined. Plasma glucose levels were determined using a glucometer (Accu-Chek Performa; Roche Diagnostics, Indianapolis, Indiana, USA). Total cholesterol, high-density lipoprotein (HDL), and total cholesterol were determined using an automatic biochemical analyzer (Mindray, BS-200, China). Tissues from the ventricular myocardium and interventricular septum were obtained for histological examination. Myocardial tissue was fixed in 10% formalin solution, processed in growing alcohol and prepared paraffin blocks. Histological preparations of 8-12 μm were prepared from the prepared paraffin blocks and stained with hematoxylin and eosin.Morphometric examinations were performed using the G.G. Avtandilov method and the NanoZoomer (REF C13140-21.S/N000198/HAMAMATSU PHOTONICS /431-3196 JAPAN) Hamamatsu (QuPath-0.4.0, NanoZoomer Digital Pathology Image) morphometric computer program. The obtained data were analyzed in the statistical section of Microsoft Excel 2010 to determine the arithmetic mean Mni, the average error of relative measurements m and the precision coefficient t. Micrographs of histological preparations were taken using a CX40 model OD400 camera microscope.Mother rats with metabolic syndrome in the experimental group decreased their food and water intake during the first 10 days of the experiment, and in the following days, they adapted to food, kept calm, and increased their food and water intake. During the experiment, obesity, hyperglycemia, hyperlipidemia and other metabolic changes were observed in rats fed a modified diet for 4–6 weeks. At the beginning of pregnancy, the body weight of rats of the experimental group was on average 10 g (4.2%) higher than that of the control group. This difference indicates the onset of body fat accumulation when experimental group rats were exposed to a metabolic syndrome-inducing diet (60% laboratory chow, 20% sheep fat, 20% fructose, and 20% fructose solution). By the 2nd week of pregnancy, the average weight of the rats in the experimental group was 320 g, which was 50 g (18.5%) higher than that of the control group. The largest difference was observed on the 21st day of pregnancy (3rd week): the rats in the experimental group weighed an average of 420 g, and in the control group - 300 g (Fig. 1). This was a difference of 120 g or 40% (p<0.05), indicating the aggravating effect of metabolic syndrome associated with obesity and hyperhydration. | Figure 1. Dynamics of body weight of pregnant rats in control and experimental groups during gestation |
The results of the study clearly demonstrated a serious violation of lipid metabolism in pregnant rats against the background of metabolic syndrome. The difference between the indicators measured at the beginning and at the end of pregnancy on the 21st day of pregnancy indicated the development of dyslipidemia with high atherogenic potential. The total cholesterol level in pregnant rats in the control group was on average 2.6 mmol/l, while in the experimental group this indicator was 4.1 mmol/l, which was 57% higher than in the control group. The triglyceride level in the control group was 1.3 mmol/l, while in the experimental group this indicator increased by 77% and averaged 2.3 mmol/l. LDL (low-density lipoproteins) was found to increase by 111.1%, and this indicator was on average 0.9 mmol/l in the control group and 1.9 mmol/l in the experimental group. HDL (high-density lipoprotein) in the control group was 1.4 mmol/l and in the experimental group it was 0.9 mmol/l, that is, this indicator was found to be 36% lower in the experimental group (Figure 2).  | Figure 2. Changes in lipid metabolism indicators in control and experimental pregnant rats (at 1 and 3 weeks of gestation) |
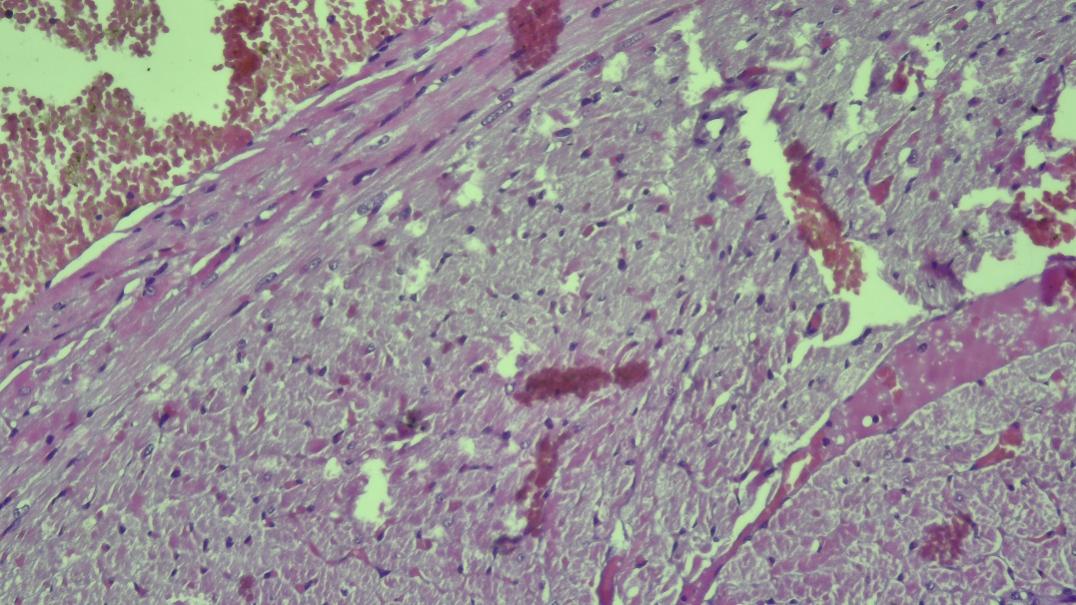
In order to establish a model of metabolic syndrome in rats and determine their glycemic status, the blood sugar level of rats was determined on different days of the experiment. Analysis of the data obtained showed that the blood sugar level of rats in the experimental group was 5.1 mmol/l at the beginning of pregnancy and by the 21st day of the experiment it was 8.6 ± 0.4 mmol/l, and the growth rate was determined to be 69%.In the control group of rats, the inner layer of the ventricular wall of the heart is formed by the endocardium, which consists of a single layer of endothelial cells. When analyzing the endocardium in a transverse section, the endothelial cells are round or elongated. The ventricles are formed along the endocardium, consisting of collagen fibers, and these fibers are clearly visible intertwining with each other. The part of the collagen fibers located close to the myocardium is intertwined with the connective tissue elements that form its inner layer. Elastic fibers are also located longitudinally in the endocardium, and they are less common and scattered compared to collagen fibers. The density of elastic fibers increases as they approach the myocardium.The subendocardial, intramural, and subepicardial layers are distinguished in the structure of the myocardium of the left and right ventricles. Of these, the subendocardial layer is the best differentiated, consisting of bundles of cardiomyocytes oriented parallel to the endocardium. The subepicardial layer is less dense, and the cardiomyocytes are located in an unstable direction and are relatively larger. In some cardiomyocytes, myofibrils are observed thickened, while in others they are scattered and vacuolated (Fig. 3). | Figure 3. In the subepicardial layer, cardiomyocytes are located in an unstable perpendicular direction |
The muscle cells in the intramural layer of the ventricular myocardium are oriented perpendicular to the subendocardial layer. In the interventricular septum, the myocardium is more densely packed, with cardiomyocytes arranged in parallel bundles. The cardiomyocytes in the intramural layer are arranged in parallel, with the volume of myofibrils exceeding the volume of the nucleus. The subepicardial layer is characterized by thin and transversely arranged cardiomyocytes, between which are located arterial and venous vessels.In the myocardium of the ventricles, internal and external longitudinal layers are distinguished, common to the left and right ventricles. The external longitudinal fibers are located close to the surface and cover both ventricles equally. The internal longitudinal layer, on the other hand, passes over the trabeculae and striated muscles, partially bending as it approaches the endocardium. The middle layer of the myocardium consists of circularly oriented cardiomyocytes, which are located in a separate formation in each ventricle. The fibers in this layer are not circular, but pass along the anterior wall, partially bending towards the endocardium. These changes occur gradually and step by step. The cardiomyocytes of the right ventricle are also oriented like those of the left ventricle. The connective tissues in the myocardium are composed of reticular, collagen, and elastic fibers. Reticular and elastic fibers surround cardiomyocytes in ring-like structures of various shapes and sizes. The orientation of these fibers corresponds to the orientation of the cardiomyocytes. Collagen and reticular fibers are found in significant quantities. Reticular fibers are brown in color, appear rough, and form large networks around muscle bundles and blood vessels, and small networks in the epicardium. The blood vessels in the rat heart consist of arterioles, venules, and capillaries, which run in the direction of the cardiomyocytes. Collagen and elastic fibers are also observed around the blood vessels.
3. Results and Discussion
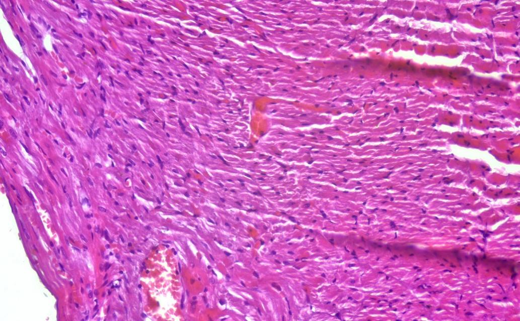
On the third day of life, the histological structure of the myocardium of rat pups born to mothers with metabolic syndrome did not differ from that of the control group. Cardiomyocytes formed elongated muscle fibers, with oval nuclei located in their central part and clearly expressed myofibrils.During the period of breastfeeding, on the seventh day of the experiment, the results of morphometric analysis showed a decrease in the thickness of the walls of all sections of the heart compared to the control group. In the small blood vessels of the heart, there were hemorrhages of a stasis and diapedesis nature, which were accompanied by perivascular edema, disorganization of the stroma and swelling of connective tissue elements. Also, dilated and full-blooded blood vessels were detected in the subepicardial zone. Initial edema was observed in the myocardial stroma.On the fourteenth day of the experiment, an increase in edema was observed in the myocardial stroma, mainly in the perivenular and pericapillary areas. Collagen fibers swelled, and superficial disorganization of the connective tissue structure began to develop. Blood vessels appeared rounded due to swelling of endothelial cells. In cardiomyocytes, cytoplasmic vacuoles, i.e., accumulation of clear fluid in the cytoplasm, were observed, and signs of hydropic dystrophy were noted. These swelling processes were focal, and dystrophic and unchanged cardiomyocytes were observed together. Lymphohistiocytic infiltration was also noted.On the 21st day of the experiment, changes in blood vessels in the myocardial tissue remained. Perivascular hemorrhages in the form of blood accumulation, stasis, and diapedesis were detected in the veins. The accumulation of fluid in the muscle tissue led to the friction of muscle fibers against each other. Small infiltrates consisting of lymphocytes, histiocytes, and fibroblasts were also detected in the myocardium. Signs of mucoid and fibrinoid staining were noted in the myocardial stroma. Protein hydropic dystrophy developed in cardiomyocytes, swellings and foci of plasmolysis were observed inside the cells. Plasmolysis foci appear under a microscope in a similar way to optical cavities. Cases of vacuolization are detected in the cytoplasm of cardiomyocytes. Thickened and swollen collagen fibers are noted in the endocardium. Initial changes of atherosclerosis were detected in the wall of arterioles. No changes were detected in the endothelial layer of the arterial wall, foam cells were detected in the subendothelial layer.On the 21st day of the experiment, a slight thickening of the basement membrane of the subendothelial layer, edema in the interstitial tissue and foci of fibrous structures, surrounded by a large amount of infiltration of macrophages and lymphocytes, was detected. Atrophic and focal hypertrophic changes were detected in the sparsely located muscle cells of the mediastinum.On the 28th day of the experiment, interstitial edema in the myocardium further increased and spread widely throughout the heart muscle tissue (Fig. 4).  | Figure 4. On the 28th day of the experiment, interstitial edema spread in the subepicardial branch of the myocardium |
This swelling process occurs with a significant expansion and spread of collagen fibers. The myocardium itself swells, and a disruption (disorganization) of the structure of the surrounding connective tissue fibers is observed. Dystrophic changes are diffuse (i.e., widespread) in nature, manifested by the absorption of the cytoplasm and the increase in intracellular swelling. The spread of muscle fibers and focal edema elements are detected. These changes are especially pronounced in the subendocardial part of the myocardium. During this period of the experiment, changes were also observed in the arterial blood vessels in the ventricular wall.
4. Conclusions
In the experimental group, thickening of the arterial blood vessel walls in the heart wall of rat pups and a reduction in vessel diameter were noted. When compared with the control group, the results of morphometric analysis revealed a decrease in the internal diameter of the arterial vessels.Specifically: On day 3, the average arterial diameter was 49.8 ± 4.3 µm, showing no significant difference from the control group. By day 7, this indicator was 52.5 ± 5.6 µm, which is 8.8% lower than the control; on day 14 — 56.7 ± 6.3 µm, 11.2% smaller than the control; on day 21 — 61.3 ± 7.3 µm, 10.6% below normal; and on day 28 — 65.3 ± 2.3 µm, 15.6% less than the control group. It is particularly noteworthy that the arterial diameter normally increases with age. However, according to the experimental results, this growth was significantly delayed in the group exposed to mercazolil. Overall, it was found that during all study periods, the arterial vessel diameter remained consistently lower compared to the control group.
References
| [1] | Godfrey, K. M., Gluckman, P. D., & Hanson, M. A. (2017). Developmental origins of health and disease. The Lancet, 389(10068), 1377–1378. |
| [2] | Maloyan, A., Baumbach, G. L., & Myatt, L. (2016). Maternal obesity and fetal cardiac development. Journal of Physiology, 594(20), 5155–5166. |
| [3] | Boney, C. M., Verma, A., Tucker, R., & Vohr, B. R. (2005). Metabolic syndrome in childhood: Association with birth weight, maternal obesity, and gestational diabetes mellitus. Pediatrics, 115(3), e290–e296. |
| [4] | World Health Organization (WHO). (2023). Metabolic Syndrome: A Global Challenge. Retrieved from https://www.who.int. |
| [5] | Millar, C. L., Duclos, Q., & Blesso, C. N. (2019). Effects of dietary flavonoids on lipid metabolism and metabolic syndrome. Journal of Cardio-Metabolism, 12(4), 221–230. |
| [6] | Mindray Medical International. (2020). BS-200 Chemistry Analyzer User Manual. Shenzhen: Mindray Biotech. |
| [7] | Roche Diagnostics. (2019). Accu-Chek Performa System Guide. Indianapolis, IN: Roche Diagnostics. |
| [8] | Matthews, D. R., et al. (1985). Homeostasis model assessment: insulin resistance and beta-cell function from fasting plasma glucose and insulin concentrations in man. Diabetologia, 28(7), 412–419. |
| [9] | Kirshner, G. I., Sagdieva, G. Sh., & Nosirova, D. Sh. (2018). Myocardial pathology in metabolic disorders. Morphology, 154 (3), 35-39. |