Tashbaev Alisher Bakhriddinovich1, Mamajanov Bakhodirjon Solijanovich2
1Independent Researcher, Andijan State Medical Institute, Andijan, Uzbekistan
2Professor, Andijan State Medical Institute, Andijan, Uzbekistan
Correspondence to: Tashbaev Alisher Bakhriddinovich, Independent Researcher, Andijan State Medical Institute, Andijan, Uzbekistan.
| Email: |  |
Copyright © 2025 The Author(s). Published by Scientific & Academic Publishing.
This work is licensed under the Creative Commons Attribution International License (CC BY).
http://creativecommons.org/licenses/by/4.0/

Abstract
Acute myeloblastic leukemia (AML) is an aggressive hematological malignancy observed in children, characterized by impaired hematopoiesis and complex morphological alterations of bone marrow cells. The pathogenesis of AML involves multifactorial mechanisms, including disruption of normal myeloid differentiation, chromosomal abnormalities, and immune dysregulation. The aim of this study was to investigate the morpho-functional characteristics of pediatric AML and to evaluate their clinical relevance. Morphological analysis revealed significant variations in cell structure, nuclear-cytoplasmic ratio, and the degree of blast differentiation, allowing differentiation between distinct AML subtypes. The obtained results demonstrated a clear interrelationship between morphological features and clinical manifestation of the disease, confirming that morphological assessment plays an essential role in improving diagnostic accuracy and prognostic evaluation in pediatric AML.
Keywords:
Acute myeloblastic leukemia, Pediatric hematology, Morphology, Blast cells, Diagnosis, Prognosis, Pathogenesis
Cite this paper: Tashbaev Alisher Bakhriddinovich, Mamajanov Bakhodirjon Solijanovich, Morpho-Clinical Characteristics of Pediatric Acute Myeloblastic Leukemia, American Journal of Medicine and Medical Sciences, Vol. 15 No. 11, 2025, pp. 4095-4098. doi: 10.5923/j.ajmms.20251511.76.
1. Introduction
Acute myeloblastic leukemia (AML) in children remains one of the most complex and heterogeneous hematological malignancies, accounting for approximately 15–20% of all pediatric leukemias and characterized by rapid progression and diverse morphologic variants [1,2]. Despite significant advances in diagnostics and therapy, AML in the pediatric population continues to pose a major clinical and pathological challenge due to its biological diversity and variable response to treatment [3,4].Recent studies indicate that cytogenetic and molecular abnormalities such as RUNX1-RUNX1T1, FLT3-ITD, and NPM1 mutations play a crucial role in the pathogenesis and prognosis of childhood AML [5,6]. Morphologically, these alterations correlate with FAB subtypes M1–M5, reflecting differences in blast cell differentiation, granularity, and nuclear-cytoplasmic ratios [7]. Such histopathological variability underscores the need for a detailed morpho-clinical evaluation of pediatric AML to optimize risk-adapted therapy and predict treatment outcomes [8,9].Clinically, AML in children manifests with nonspecific symptoms including anemia, hemorrhagic syndrome, hepatosplenomegaly, and lymphadenopathy, which often delay diagnosis and complicate disease management [10]. The course of the disease and its response to therapy are also influenced by patient age, bone marrow morphology, and immunophenotypic patterns [11]. Therefore, integrating morphological, immunohistochemical, and clinical characteristics in pediatric AML research provides essential insights into leukemogenesis and potential therapeutic targets [12]. Given the rising incidence and the biological complexity of AML in children, the study of its morpho-clinical spectrum is of high scientific and practical importance. Identifying the structural and cytological features of blast cells, alongside their clinical correlations, is key to improving diagnostic precision, stratifying prognosis, and guiding individualized treatment approaches in pediatric oncohematology [13].
2. Purpose of the Study
The primary aim of this study is to comprehensively analyze the morphological and clinical characteristics of pediatric acute myeloblastic leukemia (AML), to determine their interrelationship, and to assess the significance of morpho-clinical indicators in evaluating disease progression and prognosis.Within the scope of the research, correlations between morphological parameters (such as the nucleus-to-cytoplasm ratio of blast cells, degree of granularity, nuclear chromatin structure, and presence of Auer rods) and clinical indicators (including anemic, hemorrhagic, and hyperplastic syndromes, hepatosplenomegaly, and lymphadenopathy) were evaluated. Additionally, morphological and clinical variations of AML subtypes were examined based on the FAB classification to determine their diagnostic and prognostic relevance.
3. Materials and Methods
This study was conducted at the Republican Center of Pathological Anatomy during the period from 2018 to 2024. A total of 48 pediatric cases (ranging from 27-day-old neonates to 15-year-old children) who died from acute myeloblastic leukemia (AML) and underwent postmortem pathological examination were analyzed.All materials were selected based on autopsy protocols and processed using standard histological techniques, including fixation in formalin, embedding in paraffin blocks, and staining with hematoxylin and eosin.During histomorphological analysis, the cytoplasmic and nuclear structures of myeloblast cells, the degree of granulation, the state of nuclear chromatin, and the presence of Auer rods were evaluated. Additionally, the disease variants were classified according to the French–American–British (FAB) classification, and their morpho-clinical features were comparatively assessed.The obtained data were correlated with clinical parameters, and morpho-clinical correlation analysis was performed. The research results were subjected to statistical processing to determine the degree of association between the morphological and clinical manifestations of the disease.
4. Results and Discussion
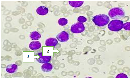
All pathomorphological materials were selected in accordance with the protocols of the Republican Center for Pathological Anatomy and prepared using standard histological processing techniques. The tissues were fixed in 10% neutral buffered formalin and subsequently embedded in paraffin blocks. Sections 4–5 μm thick were obtained using a microtome and stained with hematoxylin and eosin (H&E). Microscopic examination was performed under an optical microscope at ×400 magnification.The results of the histomorphological analysis demonstrated that myeloblast cells exhibited marked variability in shape, size, and internal structure, reflecting the heterogeneous nature of the pathological process. The cytoplasm was generally scant, basophilic in color, and appeared either homogeneous or finely granular, with varying degrees of granularity intensity. In some cells, Auer rods were observed needle-shaped or elongated cytoplasmic inclusions considered a key morphological hallmark of myeloid lineage blasts (see Figure 1). | Figure 1. Histological view of bone marrow tissue in acute myeloblastic leukemia. Myeloblast cells showing basophilic cytoplasm and hyperchromatic nuclei (1). Needle-shaped Auer rods visible within the cytoplasm (2). Hematoxylin and Eosin staining, ×400 |
Analysis of the nuclear structure revealed that myeloblasts exhibited hyperchromatic chromatin, with large and, in some cases, double or multiple nucleoli. The nuclei were often irregular in shape, occasionally segmented or elliptical, and the high nucleus-to-cytoplasm ratio (nuclear predominance) indicated a low degree of cellular differentiation. This finding was assessed as a key indicator of disrupted morphogenesis and pathological blast proliferation.According to the degree of granulation, most of the cells were of agranular or weakly granular variants. In cells lacking or containing few granules, the cytoplasm appeared homogeneous and glossy, which indicates reduced cellular activity and incomplete differentiation processes (see Figure 2). | Figure 2. Histological view of bone marrow tissue in acute myeloblastic leukemia. Myeloblast cells showing hyperchromatic chromatin and prominent nucleoli (1). Reduced cytoplasmic granulation with a homogeneous structure (2). Hematoxylin–eosin staining, ×400 |
According to the French–American–British (FAB) classification, several morphological variants of acute myeloblastic leukemia (AML) were identified in pediatric patients. The analysis demonstrated that M1 (minimally differentiated myeloblastic leukemia) and M2 (differentiated myeloblastic leukemia) variants were the most prevalent forms. In these subtypes, the leukemic cells showed relatively uniform morphology with weakly granular cytoplasm, indistinct nuclear contours, and hyperchromatic chromatin.Additionally, M4 (myelomonoblastic) and M5 (monoblastic) variants were also detected in a smaller proportion of cases. These forms were characterized by larger cell size, abundant cytoplasm, and prominent nucleoli, morphologically consistent with monoblastic differentiation. Such findings indicate the heterogeneity of blast cell proliferation and the diverse pathways of myeloid differentiation in pediatric AML (see Table 1).Table 1. Distribution and morphological characteristics of pediatric acute myeloblastic leukemia variants according to the FAB classification  |
| |
|
Analysis of patients’ medical histories and autopsy reports was conducted to evaluate cases of pediatric acute myeloblastic leukemia (AML) according to age, sex, and the presence of other comorbidities. The results demonstrated that the occurrence of AML varied across different age groups. The highest incidence was observed in children aged 27 days to 3 years (22 cases, 46.0%). This was followed by the 13–15 years age group (8 cases, 16.5%) and the 7–9 years age group (7 cases, 14.5%). The lowest incidence was noted in children aged 10–12 years (5 cases, 10.5%), while the 4–6 years age group accounted for 6 cases (12.5%). These findings indicate an age-related distribution pattern of pediatric AML (see Table 2).Table 2. Age distribution of pediatric acute myeloblastic leukemia  |
| |
|
Clinical and pathological studies of pediatric acute myeloblastic leukemia (AML) indicate a higher prevalence in female patients. In our study, this trend was also observed: among the children diagnosed with AML, 20 were male (42.0%) and 28 were female (58.0%). These findings suggest a slight predominance of AML in girls compared to boys (see Table 3).Table 3. Sex distribution of pediatric acute myeloblastic leukemia cases  |
| |
|
Analysis of bone marrow pathology in children with acute myeloblastic leukemia (AML), along with associated complications and causes of death, demonstrated the prevalence of several hematological and metabolic disturbances. The most frequent abnormalities observed were anemia in 12 cases (25%), thrombocytopenia in 11 cases (23%), neutropenia in 10 cases (21%), lymphadenopathy in 8 cases (17%), and metabolic disorders in 7 cases (14%) (Table 4). These findings highlight the significant role of hematopoietic suppression and systemic metabolic alterations in the clinical course of pediatric AML (see Table 4).Table 4. Prevalence of main bone marrow pathologies and complications in pediatric AML cases  |
| |
|
In this study, the primary direct complications contributing to mortality in children with acute myeloblastic leukemia (AML) were analyzed. Six major causes were identified: sepsis and severe infections (7 cases, 15%), massive hemorrhages (8 cases, 17%), acute respiratory failure (15 cases, 30%), tumor lysis syndrome (5 cases, 10%), multiple organ failure (7 cases, 15%), and neurological complications (6 cases, 13%) (see Table 5). These findings highlight the diverse and severe nature of complications that can arise in pediatric AML, underlining the importance of early detection and comprehensive clinical management (see Table 5).Table 5. Prevalence of main direct complications contributing to mortality in pediatric AML cases  |
| |
|
All morphological and clinical parameters were statistically analyzed to evaluate correlations between cytological features and clinical manifestations in pediatric AML. Among 48 cases, the distribution of FAB subtypes was as follows: M1 – 20 (41.7%), M2 – 15 (31.3%), M4 – 8 (16.7%), and M5 – 5 (10.3%). Age-related analysis showed the highest incidence in children aged 27 days–3 years (22 cases, 46.0%), followed by 13–15 years (8 cases, 16.5%), 7–9 years (7 cases, 14.5%), 4–6 years (6 cases, 12.5%), and 10–12 years (5 cases, 10.5%). Sex distribution revealed 20 males (42.0%) and 28 females (58.0%).Hematopoietic disturbances were observed as anemia – 12 cases (25%), thrombocytopenia – 11 (23%), neutropenia – 10 (21%), lymphadenopathy – 8 (17%), and metabolic disorders – 7 (14%). Major direct complications contributing to mortality included acute respiratory failure – 15 cases (30%), massive hemorrhages – 8 (17%), sepsis and severe infections – 7 (15%), multiple organ failure – 7 (15%), neurological complications – 6 (13%), and tumor lysis syndrome – 5 (10%).These statistical results demonstrate significant morpho-clinical correlations, highlighting the distribution of AML subtypes, age and sex prevalence, and the frequency of hematopoietic and systemic complications, providing critical insights for disease prognosis and clinical management.
5. Conclusions
The present study provides an in-depth morpho-clinical evaluation of pediatric acute myeloblastic leukemia (AML), integrating histopathological findings with clinical data. Statistical analysis of 48 pediatric cases demonstrated significant correlations between cytological characteristics, FAB subtypes, and clinical manifestations. The M1 (minimally differentiated) and M2 (differentiated) subtypes were predominant, accounting for 73% of cases, reflecting the higher frequency of partially differentiated blast populations in this cohort. Age-related distribution revealed the highest incidence in children aged 27 days to 3 years (46%), indicating a potential vulnerability in early infancy, while a slight female predominance (58%) suggests sex-based epidemiological differences in pediatric AML.Hematopoietic abnormalities, including anemia (25%), thrombocytopenia (23%), and neutropenia (21%), were frequent and correlated with the degree of blast proliferation and cytoplasmic granularity. Major direct complications contributing to mortality—such as acute respiratory failure (30%), massive hemorrhages (17%), sepsis and severe infections (15%), multiple organ failure (15%), neurological complications (13%), and tumor lysis syndrome (10%)—highlight the severe systemic impact of AML and the multifactorial nature of disease progression.These findings emphasize the clinical relevance of integrated morpho-clinical assessment in pediatric AML. Understanding the distribution of FAB subtypes alongside associated hematological and systemic complications provides critical insights for risk stratification, prognosis, and therapeutic planning. Early identification of high-risk morphological features and predictive clinical indicators can facilitate timely intervention, improve patient outcomes, and inform tailored management strategies. Furthermore, the study underscores the need for ongoing research to elucidate the pathophysiological mechanisms underlying subtype-specific clinical courses, contributing to evidence-based approaches in pediatric oncology.
References
| [1] | Pui C-H., et al. Biology, risk stratification, and therapy of pediatric acute myeloid leukemia. Blood, 2023; 141(12): 1370–1383. |
| [2] | Zwaan C.M., et al. Pediatric acute myeloid leukemia: current perspectives and future directions. Haematologica, 2024; 109(3): 520–532. |
| [3] | Creutzig U., et al. Diagnosis and management of acute myeloid leukemia in children and adolescents. Blood Reviews, 2022; 56: 100964. |
| [4] | Rubnitz J.E., et al. Biological and therapeutic implications of genetic abnormalities in pediatric AML. Leukemia, 2023; 37(5): 1023–1036. |
| [5] | Rasche M., et al. Molecular landscape and prognosis in childhood AML: insights from large cohort analyses. Cancers (Basel), 2023; 15(16): 4171. |
| [6] | de Rooij J.D., et al. Age-related molecular heterogeneity in pediatric AML. Genes, 2021; 12(6): 924. |
| [7] | Saultz J.N., et al. Morphologic and immunophenotypic spectrum of pediatric AML and their prognostic implications. Am J Clin Pathol, 2020; 154(4): 532–545. |
| [8] | Locatelli F., et al. Treatment of pediatric AML: evolving risk-adapted strategies. Nature Reviews Clinical Oncology, 2024; 21(2): 75–90. |
| [9] | Inaba H., et al. Clinical features and outcomes of childhood AML in the genomic era. Front Pediatr, 2019; 7: 401. |
| [10] | Kaspers G.J.L., et al. Clinical presentation and challenges in pediatric AML management. Pediatric Blood & Cancer, 2022; 69(5): e29645. |
| [11] | Bhatla T., et al. Immunophenotypic and cytogenetic characterization of pediatric AML: diagnostic and prognostic value. J Pediatr Hematol Oncol, 2021; 43(7): e1031–e1039. |
| [12] | Koichi T., et al. Immunohistochemical biomarkers in pediatric acute myeloid leukemia. Int J Mol Sci, 2022; 23(4): 1968. |
| [13] | Gamis A.S., et al. Advances in the biology and treatment of childhood acute myeloid leukemia: a 50-year perspective. Leukemia, 2024; 38(3): 456–471. |