American Journal of Medicine and Medical Sciences

p-ISSN: 2165-901X    e-ISSN: 2165-9036

2025;  15(11): 3895-3902

doi:10.5923/j.ajmms.20251511.29

Received: Oct. 22, 2025; Accepted: Nov. 12, 2025; Published: Nov. 14, 2025

 

Frontotemporal Dementia: Clinical and Neuroimaging Features and Correlational Relationships with Hormonal Status

Abramyan Arevik Armikovna

Andijan State Medical Institute, Andijan, Uzbekistan

Correspondence to: Abramyan Arevik Armikovna, Andijan State Medical Institute, Andijan, Uzbekistan.

Copyright © 2025 The Author(s). Published by Scientific & Academic Publishing.

This work is licensed under the Creative Commons Attribution International License (CC BY).
http://creativecommons.org/licenses/by/4.0/

Abstract

According to WHO data, there are currently over 55 million people worldwide suffering from dementia, more than 60% of whom live in low- or middle-income countries. Approximately 10 million new cases of dementia are recorded annually. Dementia currently ranks seventh among the leading causes of death globally and is among the main causes of disability in older people and their dependence on external assistance. In 2019, the global economic costs of dementia amounted to 1.3 trillion US dollars, of which approximately 50% of the costs are attributable to informal care and supervision of patients (e.g., by their relatives and close friends), provided on average for 5 hours a day. Frontotemporal dementia accounts for 5-7 cases of dementia.

Keywords: Dementia, Frontotemporal dementia, Primary progressive aphasia, Pick's disease, Cortisol, Dehydroepiandrosterone sulfate

Cite this paper: Abramyan Arevik Armikovna, Frontotemporal Dementia: Clinical and Neuroimaging Features and Correlational Relationships with Hormonal Status, American Journal of Medicine and Medical Sciences, Vol. 15 No. 11, 2025, pp. 3895-3902. doi: 10.5923/j.ajmms.20251511.29.

1. Introduction

Frontotemporal dementia (FTD) or lobar-temporal dementia (LTD) refers to a group of degenerative pathologies of the central nervous system, with predominant involvement of the frontal and anterior temporal segments of the brain, leading to the development of behavioral, speech, and personality disorders in patients [1,2,10,19,40]. This pathology is often combined with degeneration of subcortical areas [41]. In Russian literature, the term "Lobar-temporal dementia" is more commonly used, while in foreign literature, the term "Frontotemporal dementia" is mainly used.
The study of frontotemporal dementia began in the 19th century with Arnold Pick, who described a patient with speech and behavioral disorders. Arnold Pick linked this condition to atrophy of specific brain regions [2,17,34]. Inclusions found during histological examination were named Pick bodies, and the disease itself was called Pick's disease. Subsequently, the term "Pick's disease" began to be applied only to a limited number of conditions with such a symptom complex, as not all diseases with speech and behavioral disorders had a histological picture characteristic of Pick's disease [2,18,33,34].
The disease most often begins at 50–60 years of age, but can debut at 20–40 years or in old age, including rare cases at 25 and 89 years [4]. The prevalence among men and women is approximately equal, although some studies note a slightly higher frequency in men [2,6]. The average life expectancy in FTD varies from 6 to 10 years [6]. Progression is faster with greater atrophy in the anterior cingulate cortex, as well as with older age, more pronounced behavioral disorders, and the presence of a known pathogenic mutation for frontotemporal dementia [11]. Carriers of genetic mutations allow for monitoring from the presymptomatic to the symptomatic stage, making them ideal for accurate monitoring of disease progression from the preclinical stage. In contrast, sporadic cases are usually diagnosed years after symptom onset, leading to later stages at the time of identification [16].
FTD results from frontotemporal lobar degeneration, leading to atrophy of these brain regions [6]. In 30–50% of cases, the disease is associated with genetic mutations in the MAPT, progranulin, and C9orf72 genes [2].
As studies have shown, the genetic factor does not always contribute to the development of frontotemporal dementia, and the relationship between neurohormone levels and the development of this disease and cognitive impairments has not yet been studied.
The behavioral variant accounts for more than half of cases of frontotemporal degenerations [20,23,36]. This form of frontotemporal dementia is characterized by a combination of behavioral, cognitive, and affective disorders. The main criteria for diagnosis are gradual onset and steady progression, personality and social behavior disorders, emotional indifference, reduced critical thinking. In most cases, at the onset of the disease, patients do not exhibit any pathological symptoms in the neurological sphere, but with the worsening of the pathological process, patients show grasping reflexes, hypokinesia, pelvic disorders, etc. [4,9,25,37]. The clinical picture of the behavioral variant of frontotemporal dementia is dominated by 6 main signs: disinhibition, apathy, loss of empathy, altered eating behavior, stereotypical behavior, and impaired executive functions. At least three of these must be present for clinical diagnosis [12,38]. The dominant manifestation of the behavioral variant of FTD is social disinhibition, loss of manners, inappropriate behavior, volitional disturbances, apathy, or inertia [6]. According to Fieldhouse, Jay L.P et al., younger patients exhibit more pronounced euphoric, apathetic, and depressive symptoms than older patients with the behavioral form of FTD [16]. Although libido is usually reduced in such patients, they are sexually disinhibited and may engage in sexual acts in public. Such patients also stop taking care of their appearance, do not bathe, do not observe hygiene rules, and wear dirty clothes. Social interests narrow, and patients lose the ability to sympathize, empathize, and feel compassion [6,35]. There may also be simple stereotypical manifestations: rocking, humming, throat clearing, clapping, rubbing, touching something or someone, stomping feet, scratching, smacking, and so on [2,13,36]. Many patients experience changes in eating behavior, possibly overeating, lack of satiety, consumption of inedible items, and a preference for sweet foods [6]. As for cognitive functions in the behavioral form of frontotemporal dementia, they are not fully understood and are still under investigation, but it is known that executive functions are most affected, initiative decreases, planning ability is reduced, and it is difficult for the patient to switch from one cognitive activity to another.
Another form of frontotemporal dementia is primary progressive aphasia syndrome. Speech disorders are associated with damage to the temporal lobes of the brain. According to literature sources, primary progressive aphasia is classified into primary progressive aphasia (PPA) without reduced speech fluency (semantic form), PPA with reduced speech fluency (agrammatic form), as well as the logopenic form of PPA. In addition, a combined form of PPA is distinguished, which is characterized by both the semantic form (SF) and the agrammatic form (AF PPA). In the agrammatic form of primary progressive aphasia, the patient's speech becomes laconic, erroneous, and intermittent; grammatical structure is impaired: the patient speaks in disconnected words or phrases. Patients find it difficult to express their thoughts, cannot construct coherent sentences, and counting is impaired. In the semantic form of frontotemporal dementia, the patient does not understand speech addressed to them, does not understand the meaning and significance of words. They often replace some words with others that are similar in meaning. Reading aloud is usually not impaired in such patients. The logopenic form of frontotemporal dementia is similar to Alzheimer's disease, with the patient experiencing difficulty in word finding and struggling to repeat a phrase or sentence.
Recently, increasing attention has been paid to studying the influence of various hormones on brain activity, particularly on cognitive functions. The production of some hormones remains at the same level throughout life, with minor deviations, such as cortisol. The production of other hormones changes throughout a person's life, in particular, the production of dehydroepiandrosterone significantly decreases with age. In this regard, scientists are increasingly focusing on studying the influence of hormones on the human body and on cognitive functions, in particular. Various studies have been conducted on the effect of corticosteroids, particularly cortisol, on cognitive activity. Cortisol is a hormone produced in the adrenal cortex from cholesterol under the influence of pituitary adrenocorticotropic hormone, the production of which, in turn, is regulated by hypothalamic corticotropin-releasing hormone [22,24]. Cortisol affects metabolism, blood pressure levels, and is also the main stress hormone. After release from the adrenal cortex, cortisol easily penetrates the blood-brain barrier, binding to specific intracellular receptors in the brain, particularly in areas involved in cognitive functions [27,30]. Short-term exposure to moderate doses of cortisol, for example, during short-term stress, leads to improved memory, while prolonged exposure to high doses of cortisol, for example, during prolonged, chronic stress, leads to impaired memory and executive functions. Girling's studies proved the link between elevated cortisol levels and a decrease in gray matter volume in the brain [31]. Other studies have shown a link between high doses of cortisol and hippocampal atrophy [31,32,42]. Increased cortisol levels lead to impaired episodic memory, spatial memory, information processing speed, and social maladaptation. Patients with Alzheimer's disease also showed elevated levels of the hormone cortisol, and the level of this hormone directly correlated with the level of cognitive impairments and emotional disturbances [15,30,31].
Another hormone that affects cognitive functions is dehydroepiandrosterone sulfate, which is produced in the adrenal glands. It is noteworthy that only primates, particularly humans and monkeys, are capable of synthesizing DHEA [3]. A certain part of dehydroepiandrosterone is also formed in the central nervous system. The highest increase in the production of this hormone is observed by the age of 30, after which its production sharply declines. In this regard, the normal range for determining this hormone in the blood of patients also changes depending on age and gender. According to various studies, dehydroepiandrosterone sulfate is known to improve cognitive functions, emotional background, and mood [7]. There is evidence that DHEA can stimulate neurogenesis and protect against neuronal damage, counteracting the neurotoxic effects of glucocorticoids in hippocampal and cortical structures [28,29]. DHEA(S) has neuroprotective, antioxidant, antihypertensive, and anti-inflammatory properties, and also reduces conditioned fear responses in rodents and humans [26,39]. According to a number of authors, the fact that DHEA production decreases with age is more significant in the development of cognitive deficit with age than the decrease in sex hormone production [3,5]. A number of brain diseases accompanied by cognitive impairments, including Alzheimer's disease, are accompanied by a decrease in DHEA levels [3,5]. Impaired neuronal differentiation and a decrease in neuronal contacts between them are also associated with low levels of the hormone DHEA [5].
Thus, it becomes clear that studying the effect of neurohormone levels on cognitive functions in frontotemporal dementia opens up wide opportunities for uncovering the mechanisms of this pathology's development and searching for ways to treat and prevent frontotemporal dementia.

2. Materials and Methods of Research

We examined 114 patients in the age range from 60 to 75 years (elderly age, according to the WHO classification), divided into 3 groups. The first group included 33 (28.9%) patients with frontotemporal dementia: of these, 21 (63.6%) patients had the behavioral variant of frontotemporal dementia (bvFTD), 12 (37.5%) patients had primary progressive aphasia (PPA); the second group consisted of 41 (35.9%) patients with chronic cerebral ischemia of stages II–III with moderate and severe cognitive disorders; the third control group consisted of 40 (35%) patients without cognitive disorders (Figure 1).
Figure 1. Distribution of patients by groups (%)
In the first group, there were 27 (81.8%) women and 6 (18.2%) men, in the second group – 35 (85.4%) women and 6 (14.6%) men, and in the third group – 26 (65%) women and 14 (35%) men (Figure 2).
Figure 2
Research methods included: a complete neurological examination, examination using neuropsychological and neurocognitive scales (MMSE, MoCA-test, "Frontal Dysfunction Battery" test), neuroimaging, and all patient groups underwent blood tests for cortisol and dehydroepiandrosterone sulfate hormone levels.

3. Research Results and Their Discussion

Among the clinical manifestations of frontotemporal dementia, the following were most frequently observed, in descending order: memory impairments – in 33 patients (100%), behavioral disorders – in 33 patients (100%), speech disorders – in 25 patients (75.8±7.5%), emotional disorders – in 24 patients (72.7±7.8%), sleep disturbances – in 12 patients (36.4±8.4%), headache – in 11 patients (33.3±8.2%), dizziness – in 8 patients (24.2±7.5%), increased blood pressure was observed in 4 patients (12.1±5.7%). Patients in the second group, in turn, predominantly reported general complaints: memory impairments – in 39 patients (95.1±3.4%), headache – in 39 patients (95.1±3.4%), emotional disorders – in 24 patients (58.5±7.7%), sleep disturbances – in 17 patients (41.5±7.73%), dizziness – in 38 patients (92.7±4.1%), increased blood pressure – in 13 patients (1.7±7.3%). Patients in the second group did not have behavioral or speech disorders. As for patients in the control group, only 1 (2.5±2.5%) patient had a headache, 9 (22.5±6.6%) patients had emotional disorders, 10 (25.0±6.8%) patients complained of sleep disturbances, 6 (15.0±5.6%) patients complained of headache and the same number of increased blood pressure, 4 (10.0±4.7) patients complained of dizziness (Figure 3).
Figure 3. Main clinical manifestations of patients in all three groups
Neurological status examination showed that among the symptoms of cranial nerve damage, decreased vision, decreased olfaction, convergence paresis, and decreased hearing were more common (Figure 4).
Figure 4
Among patients in the first group, decreased sense of smell was statistically significantly higher compared to patients in the second group, 8 (24.2±7.4%) and 2 (4.9±3.4%) respectively (p<0.05). No decreased sense of smell was observed among patients in the third group. Decreased vision did not show a statistically significant difference among patients in all three groups due to all patients being elderly and, consequently, having vision problems. Convergence paresis was also more frequently observed among patients in the first group - 6 (18.2±6.7%), while only 2 patients in the second and third groups had this symptom (4.9±3.4% for the second and 5.0±3.4% for the third group). Decreased hearing statistically significantly prevailed among patients in the first group compared to patients in the second and third groups: 11 (33.3±8.2%), 8 (19.5±6.2%), and 1 (2.5±2.5%) respectively, p<0.001.
When examining the motor sphere, more than half of the patients in groups 1 (18 patients (54.5±8.7%)) and 2 (22 patients (53.7±7.8%)) and almost all in group 3 (97.5±2.5%) showed no signs of damage. Motor system damage manifested as increased tendon reflexes and the presence of pathological signs.
Among pathological reflexes, the most common were the grasping reflex, oral automatism reflexes, upper Rossolimo reflex, and Babinski reflex. The frequency of pathological symptoms is presented in Figure 5.
Figure 5. Frequency of pathological reflexes, %
MRI of the brain was performed on patients in groups 1 and 2. The presence or absence of atrophy/hypotrophy of the frontotemporal lobes of the cerebral hemispheres was mainly analyzed. The distribution of MRI signs is presented in Figure 6.
Figure 6. Frequency of MRI signs in patients, %
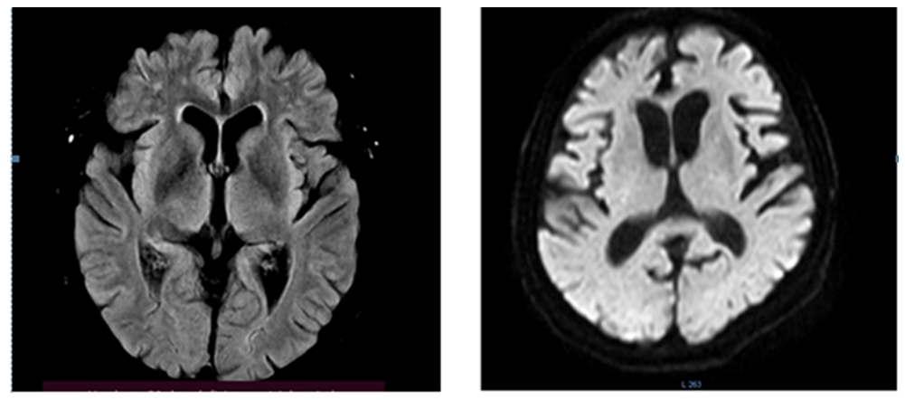
Thus, it can be concluded that signs of atrophy/hypotrophy of the brain, and even of the frontotemporal lobes, were observed not only in patients with frontotemporal dementia with clear signs of dementia, but also in patients with chronic cerebral ischemia. In this study, we see that the neuroimaging picture does not always correlate with clinical manifestations and the level of cognitive impairment. There is a high probability that patients with moderate and severe cognitive impairment will subsequently also move into the group with dementia, so earlier detection of such impairments and their timely correction are necessary. At the same time, signs of encephalopathy were more often observed in the group with mild cognitive impairment and severe cognitive impairment, which also speaks in favor of the vascular component of the pathology. Figure 7 shows MRI signs of atrophy of the frontal and temporal lobes of the brain.
Figure 7. Patient 67 years old. Atrophy of the frontotemporal regions of the brain
We conducted a correlation analysis between the cognitive level of patients with frontotemporal dementia, patients with chronic cerebral ischemia of stages II and III, and healthy patients, and the levels of cortisol and dehydroepiandrosterone sulfate hormones in these patient groups. A moderate inverse correlation was found between cortisol levels and cognitive functions according to the MMSE scale (r=-0.31), the Frontal Dysfunction Battery test (r=-0.33), and the Montreal Cognitive Assessment (r=-0.35) (Figure 8).
Figure 8. Correlation between neurocognitive scale levels and cortisol hormone levels
From this diagram, we can see that while the cortisol hormone curve drops from the first group with frontotemporal dementia to the second group with CCI and the third group, the neurocognitive scale curves, on the contrary, rise, which clearly demonstrates the reliability of the identified correlation.
Regarding the dehydroepiandrosterone sulfate hormone, a moderate direct correlation was found between the DHEA-S hormone level and cognitive functions according to the MMSE scale (r=0.30), the FDB test (r=0.30), and the Montreal Cognitive Assessment (r=0.40) (Figure 9).
Figure 9. Correlational relationships between neurocognitive scale levels and cortisol hormone levels

4. Conclusions

1. The results of the study showed that among the clinical manifestations of frontotemporal dementia, memory impairments, behavioral disorders, emotional disorders, and speech disorders come to the forefront.
2. In patients with frontotemporal dementia, the olfactory and auditory nerves are most frequently affected. This fact confirms the bilateral involvement of the temporal lobes of the cerebral cortex in the pathological process.
3. In patients with frontotemporal dementia, pathological symptoms of oral automatism and the grasping reflex prevailed, indicating the involvement of the frontal lobes of the brain in the process.
4. Neuroimaging studies showed that in patients with FTD, atrophy of the frontotemporal regions of the brain prevailed, while in patients of the second group with CIM, lacunar ischemic foci statistically significantly prevailed, which indicated a predominantly vascular etiology of the lesion.
5. Correlation analysis between the cognitive level of patients with frontotemporal dementia, patients with CIM, and healthy patients and the level of the hormone cortisol showed an inverse correlation of moderate strength.
6. Correlation analysis between the cognitive level of patients with frontotemporal dementia, patients with CIM, and healthy patients and the level of the hormone dehydroepiandrosterone sulfate showed a direct correlation of moderate strength.

References

[1]  Abramyan A.A., Rakhimbaeva G.S., Nasirdinova N.A., Urinova G.G. Fronto-temporal dementia. "New Day in Medicine" Scientific-referential medical journal. 3 (31) 2020, pp. 570-573.
[2]  Vasenina E.E., Veryugina N.I., Levin O.S. (2015). Modern views on the diagnosis and treatment of frontotemporal dementia. Modern Therapy in Psychiatry and Neurology, (3), 26-34.
[3]  Goncharov Nikolay Petrovich, Katsiya G.V. Dehydroepiandrosterone: biosynthesis, metabolism, biological action and clinical application (analytical review) // Andrology and Genital Surgery. 2015. No.1. pp. 13-22.
[4]  Grishina D. A., Zakharov V. V., Yakhno N. N. (2016). Cognitive impairments in the behavioral form of frontotemporal dementia. Neurological Journal, 21 (6), 330-337.
[5]  Kispaeva T. T, Ostrovtsev I. V., Gudkova V. V. and others. Hormonal markers of cognitive impairments in patients with primary cerebral stroke. Journal of Neurology and Psychiatry, 12, 2013; Issue 2, pp. 17-20.
[6]  Cognitive disorders in elderly and senile individuals, Clinical guidelines, approved by the Ministry of Health of the Russian Federation, 2020, pp. 20, 28, 38, 48, 54, 62.
[7]  Rozhivanov R.V., Vaks V.V. Dehydroepiandrosterone: physiological role and possibilities of use as a medicinal agent. Problems of Endocrinology. 2005; 51(2): 46-51.
[8]  Stepkina D. A., Zakharov V. V., Yakhno N. N. Frontotemporal degeneration (literature review and own observations). Doctor. Ru. 2013; 5 (83): 44-50.
[9]  Yakhno N. N., Zakharov V. V., Lokshina A. B., Koberskaya N. N., Mkhitaryan E. A. Dementias: A Guide for Physicians. 2nd ed. Moscow: Medpress-inform; 2010.
[10]  A. Johnen, M. Bertoux Psychological and cognitive markers of behavioral variant frontotemporal dementia-a clinical neuropsychologist's view on diagnostic criteria and beyond Front. Neurol., 10 (2019), p. 594.
[11]  Agarwal S, Ahmed R M, D'Mello M, et al. Predictors of survival and progression in behavioural variant frontotemporal dementia. Eur J Neurol. 2019; 26(5): 774-779.
[12]  Antonioni A, Raho EM, Lopriore P, Pace AP, Latino RR, Assogna M, Mancuso M, Gragnaniello D, Granieri E, Pugliatti M, Di Lorenzo F, Koch G. Frontotemporal Dementia, Where Do We Stand? A Narrative Review. Int J Mol Sci. 2023 Jul 21; 24(14): 11732.
[13]  Cagnin A., Formentin C., Pompanin S., et al. Simple motor stereotypies are not specific features of behavioural frontotemporal dementia // J Neurol Neurosurg Psychiatry. - 2014. -Vol. 85, № 8. - P. 943-944.
[14]  Ducharme S, Dols A, et al. Recommendations to distinguish behavioural variant frontotemporal dementia from psychiatric disorders. Brain. 2020 Jun 1; 143(6): 1632-1650.
[15]  Ferrer-Cairols, L. Ferré-González, G. García-Lluch, C. Peña-Bautista, L. Álvarez-Sánchez, M. Baquero, C. Cháfer-Pericás, Emotion recognition and baseline cortisol levels relationship in early Alzheimer disease, Biological Psychology, Volume 177, 2023, 108511, ISSN 0301-0511.
[16]  Fieldhouse Jay L. P. , van Paassen Dirk N. et al. The pursuit for markers of disease progression in behavioral variant frontotemporal dementia: a scoping review to optimize outcome measures for clinical trials. JOURNAL Frontiers in Aging Neuroscience, Volume 16, 2024.
[17]  Harciarek M.L., Cosentino S. Language, executive function and social cognition in the diagnosis of frontotemporal dementia syndromes // International Review of Psychiatry. - 2013. - Vol. 25, № 2. - P. 178-196.19.
[18]  Hornberger M., Piguet O. Episodic memory in frontotemporal dementia: a critical review // Brain. - 2012. - Vol. 135. - P. 678-692.
[19]  I. Joanna Swift, A. Sogorb-Esteve, et al. Fluid biomarkers in frontotemporal dementia: past, present and future. J. Neurol. Neurosurg. Psychiatry, 92 (2) (2021), pp. 204-215, 10.1136/jnnp-2020-323520.
[20]  Kerchner G.A., Tartaglia M.K., Boxer A.L. Abhorring the vacuum: use of Alzheimer's disease medi-cationsin frontotemporal dementia // Expert Rev Neurother. - 2011. - Vol. 11, № 5. - Р. 709-717.
[21]  Kishi T, Matsunaga S, Iwata N. Memantine for the treatment of frontotemporal dementia: a meta-analysis. Neuropsychiatr Dis Treat. 2015 Nov 12; 11: 2883-5.
[22]  Knezevic E, Nenic K, Milanovic V, Knezevic NN. The Role of Cortisol in Chronic Stress, Neurodegenerative Diseases, and Psychological Disorders. Cells. 2023; 12(23): 2726.
[23]  Laforce R. Behavioral and language variants of frontotemporal dementia: a review of key symptoms // Clinical Neurology and Neurosurgery. -2013. - Vol. 115. - P. 2405-2410.
[24]  Lightman SL, Birnie MT, Conway-Campbell BL. Dynamics of ACTH and Cortisol Secretion and Implications for Disease. Endocr Rev. 2020; 41(3): bnaa002.
[25]  Lovestone S., Philpot M., Connell J., et al. Genetics, molecular biology, neuropathology and pheno-type of frontal lobe dementia. Br. J. Psych. 2002; 180: 455-60.
[26]  Maninger N, Wolkowitz OM, Reus VI, Epel ES, Mellon SH. Neurobiological and neuropsychiatric effects of dehydroepiandrosterone (DHEA) and DHEA sulfate (DHEAS) Front Neuroendocrinol. 2009; 30: 65–91.
[27]  McEwen BS. Physiology and neurobiology of stress and adaptation: central role of the brain. Physiol Rev. 2007 Jul; 87(3): 873-904.
[28]  Nguyen TV, McCracken JT, Ducharme S, et al. Interactive effects of dehydroepiandrosterone and testosterone on cortical thickness during early brain development. J Neurosci. 2013 Jun 26; 33(26): 10840-8.
[29]  Nguyen TV, Wu M, Lew J, Albaugh MD, Botteron KN, Hudziak JJ, Fonov VS, Collins DL, Campbell BC, Booij L, Herba C, Monnier P, Ducharme S, McCracken JT. Dehydroepiandrosterone impacts working memory by shaping cortico-hippocampal structural covariance during development. Psychoneuroendocrinology. 2017 Dec; 86: 110-121.
[30]  Ouanes S, Castelao E, von Gunten A, Vidal PM, Preisig M, Popp J. Personality, Cortisol, and Cognition in Non-demented Elderly Subjects: Results from a Population-Based Study. Front Aging Neurosci. 2017 Mar 14; 9: 63.
[31]  Ouanes, S., & Popp, J. (2019). High cortisol and the risk of dementia and Alzheimer’s disease: A review of the literature. Frontiers in Aging Neuroscience, 11, Article 43.
[32]  P S, Vellapandian C. Hypothalamic-Pituitary-Adrenal (HPA) Axis: Unveiling the Potential Mechanisms Involved in Stress-Induced Alzheimer's Disease and Depression. Cureus. 2024; 16(8): e67595. Published 2024 Aug 23.
[33]  Paulos J.P., Massano J. Clinical, genetic and neuropathological features of frontotemporal dementia: an update and guide // Acta Med Port. - 2013. - Vol. 26, № 4. - P. 392-401.
[34]  Pressman P.S., Miller B.L. Diagnosis and management of behavioral variant frontotemporal dementia // Biol Psychiatry. – 2014.
[35]  Puppala GK, Gorthi SP, Chandran V, Gundabolu G. Frontotemporal Dementia – Current Concepts. Neurol India 2021; 69: 1144-52.
[36]  Rascovsky K., Hodges J.R., Knopman D., etal. Sensitivity of revised diagnostic criteria for the behavioural variant of frontotemporal dementia // Brain. - 2011. - Vol. 134. - P. 2456-2477.
[37]  Seelaar H., Rohrer J.D., Pijnenburg Y.A., et al. Clinical, genetic and pathological heterogeneity of fronto-temporal dementia: a review. J. Neurol. Neurosurg. Psychiatry. 2011; 82: 476-86.
[38]  Seeley W.W. Behavioral Variant Frontotemporal Dementia. Continuum (Minneap Minn). 2019 Feb; 25(1): 76-100.
[39]  Sripada RK, Marx CE, King AP, Rajaram N, Garfinkel SN, Abelson JL, Liberzon I. DHEA enhances emotion regulation neurocircuits and modulates memory for emotional stimuli. Neuropsychopharmacology. 2013 Aug; 38(9): 1798-807.
[40]  T. Tavares, D. Mitchell, K. Coleman, B. Coleman, C. Shoesmith, C. Butler, I. Santana, A. Danek, A. Gerhard, A. Mendonca, B. Borroni, M. Tartaglia, C. Graff, D. Galimberti, F. Taglavini, F. Moreno, G. Frisoni, J. Rowe, J. Levin, E. Finger. Early symptoms in symptomatic and preclinical genetic frontotemporal lobar degeneration. J. Neurol. Neurosurg. Psychiatry, 91 (9) (2020), pp. 975-984.
[41]  Ulugut H, Pijnenburg YAL. Frontotemporal dementia: Past, present, and future. Alzheimer's Dement. 2023; 19: 5253–5263.
[42]  White S, Mauer R, Lange C, et al. The effect of plasma cortisol on hippocampal atrophy and clinical progression in mild cognitive impairment. Alzheimers Dement (Amst). 2023; 15(3): e12463. Published 2023 Aug 13.