Ishankulova Dildora Khabibullaevna
Bukhara State Medical Institute named after Abu Ali ibn Sina, Bukhara, Uzbekistan
Correspondence to: Ishankulova Dildora Khabibullaevna, Bukhara State Medical Institute named after Abu Ali ibn Sina, Bukhara, Uzbekistan.
| Email: |  |
Copyright © 2025 The Author(s). Published by Scientific & Academic Publishing.
This work is licensed under the Creative Commons Attribution International License (CC BY).
http://creativecommons.org/licenses/by/4.0/

Abstract
This work is devoted to the study of the effect of energy drinks on the histochemical structure of the uterus using female white outbred rats as an example. The methods of study were staining with Schiff reagent and positive PAS reaction of the uterine structure after long-term intake of energy drink. As a result of the study, it was revealed that there is proliferation and increase in the amount of collagen type III. (Reticular fibers) in the uterine tissue of white outbred rats.
Keywords:
PAS reaction, Schiff reagent, Histochemical study, Uterus, White outbred rats, Collagen type III
Cite this paper: Ishankulova Dildora Khabibullaevna, Comparative Characteristics of Studies of the Uterus of White Outbred Female Rats Before and After Long-Term Energy Drink Intake, American Journal of Medicine and Medical Sciences, Vol. 15 No. 10, 2025, pp. 3397-3401. doi: 10.5923/j.ajmms.20251510.25.
1. Introduction
Energy drinks are a special type of carbonated beverages that are positioned by their manufacturers as those that increase physical activity and improve productivity when consumed. Energy drinks first appeared on the market in the 80s of the 20th century. Drinks of this class gained particular popularity in the 2000s of the 21st century, as evidenced by the increased sales volumes [1].Energy drinks consist of components that have long been known to medicine. Thus, all "energy drinks" without exception contain caffeine. In industry, it is obtained in three ways: by isolating it from roasted coffee beans, which contain 0.75 - 1.5% caffeine; by extracting it from tea dust, ground tea leaves, containing 1.5 - 3.5% caffeine; by extracting it from cola nuts, which contain about 2% caffeine. In addition, it can be obtained chemically from uric acid or by methylation of theobromine. It is synthetic, cheaper caffeine that manufacturers include in energy drinks. Another component of energy cocktails is taurine. Some manufacturers add extract of mate leaves, damiana, Far Eastern magnolia vine, ginseng.There are also vitamins in the "energy" that are directly related to the body's energy metabolism: ascorbic acid, B1, B2, B3, B5, B6, B12, niacin. Moreover, some vitamins are introduced in the amount of the required daily dose of an adult, which is not bad at all. In general, the purpose of these drinks is to increase the same energy metabolism, the vitality of the body.Addiction to energy drinks lies in the properties of their main component - caffeine:- Large doses of caffeine can lead to depletion of nerve cells.- The effect of caffeine (like other psychostimulants) largely depends on the type of higher nervous activity.- Caffeine weakens the effect of sleeping pills and narcotics, increases the reflex excitability of the spinal cord, and excites the respiratory and vasomotor centers.- Cardiac activity increases under the influence of caffeine, myocardial contractions become more intense and frequent.In the amount contained in 2-3 cans of energy drinks, drunk over a short period of time, caffeine causes anxiety, insomnia, irritability, and headaches. At the same time, although this has not yet been fully proven, consuming caffeine in high doses over a long period of time can cause coronary heart disease, high blood pressure, and some birth defects in offspring [2,3].Acute caffeine poisoning produces early symptoms of anorexia, tremors, and confusion. Severe intoxication can cause delirium, seizures, supraventricular and ventricular tacharrhythmias, hypokalemia and hyperglycemia. Chronic intake of large doses of caffeine can lead to nervousness, irritability, anger, constant tremors, muscle twitching, insomnia and hyperreflexia. Taurine is a synthetic analogue of caffeine, which is cheaper and is added to energy drinks in huge quantities: Like caffeine, taurine helps improve energy processes, but the safety of taurine for patients under 18 has not been established, that is, the likelihood of adverse reactions and its effect on metabolism are unpredictable. Most expert opinions of medical specialists unequivocally state the detrimental effect of such drinks on human health. However, the only thing that specialists and society have managed to achieve to date is the mandatory application of warning labels on cans. A number of studies also clearly indicate a link between the consumption of energy drinks and weak alcoholic beverages and future addiction to strong alcoholic beverages and so-called “hard” drugs.Numerous cases of exacerbation of psychiatric disorders have been documented in individuals who abused energy drinks [4]. In a number of cases, their use by patients suffering from epilepsy provoked the development of seizures [5], including, in one case, against the background of their two-year absence. Machado-Vieira R. et al. described a case of the development of a manic episode in a 36-year-old patient suffering from bipolar disorder after consuming three cans of Red Bull per night [6]. Cerimele J.M. et al. noted the development of acute psychosis in a patient with schizophrenia [7,8]. The danger of consuming excessive amounts of energy drinks by healthy people in the context of psychiatric pathology is confirmed by the following facts. Iyadurai S.J., Chung S.S. documented an episode with the appearance of seizures without a history of epilepsy [9]. And Goruglu Y. et al. described a case of acute psychosis in a young man who had no previous psychiatric history [10]. Thus, Vivekanandarajah A. et al. [11] described a case of acute hepatitis in a 22-year-old girl who consumed about 10 cans of the drink per day for two weeks (brand name not specified). In the same year, Apestegui C.A. et al. [12] described a case of cholestatic hepatitis in a patient with a liver transplant who drank 15 cans of Red Bull over three days. In both cases, the authors of the cited publications associated the hepatotoxicity of drinks with a high content of vitamin B3.Objective of the study is to determine the effect of long-term consumption of energy drinks on the histochemical structure of the uterus in female white outbred rats using the methods of staining with the Schiff reagent and a positive PAS reaction.
2. Materials and Methods
For the study, white nulliparous female rats aged 5-6 months weighing 130-140 g were selected. 5-6-month-old white outbred rats were kept in standard vivarium conditions with relative humidity (50-60%), temperature (19-22°C) and light regime (12 hours of darkness and 12 hours of light).In order to prevent infectious diseases in the vivarium and ensure the absence of infectious diseases, the laboratory animals were quarantined for 21 days and observed during these days, their temperature was measured and their weight was checked several times during these days. The increase was monitored. During this period, they did not show any symptoms of the disease, the temperature was within the normal range (38.5-39.5°C), appetite disorders and other external changes were not detected. On the 10th day, the animals were taken out of the experiment under ether anesthesia in compliance with the rules of euthanasia and autopsy material was collected for subsequent histological examination (small intestine). The autopsy material was labeled, fixed in 10% buffered formalin and subjected to histological examination using generally accepted histological techniques. To study the morphological parameters of the organs of laboratory animals, research methods widely used in experimental studies (anatomical dissection) were used. All histological preparations were examined using a trinocular microscope HL-19 (China) with software. Sections were stained with Schiff reagent.
3. Result and Discussion
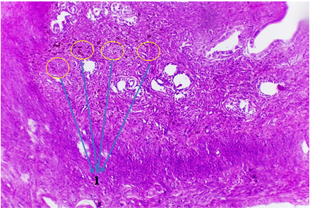
The rat uterus has paired horns, a double body and neck. The uterine horns fuse caudally to form the body and neck, but their cavities remain separated from each other by a septum and open into the vagina with two independent openings. It should be noted that in the main textbooks on veterinary science and monographs on developmental biology in rats, according to the main classification of uteruses, the latter is described as bipartite, which means the fusion of bodies with the formation of one cervical opening. Upon comprehensive study of this issue, it becomes clear that the rat uterus should be classified as double. The body of the uterus is an undivided area between the horns and the cervix. It is located in the abdominal cavity dorsal to the bladder and ventral to the rectum. The cervix is a small thick-walled area between the body of the uterus and the vagina. It is divided into vaginal and supravaginal parts. Histological examination revealed that the wall of the horns, body and cervix of the uterus consists of three membranes: the endometrium (mucous), myometrium (muscular) and perimetrium (serous) (Fig. 1). | Figure 1. Morphological structure of the uterus of a white mongrel rat before long-term use of energy drinks (normal) Stained with Schiff reagent and hematoxylin. Magnification 10x20. 1- endometrium; 2- proper plate of the mucous membrane (endometrial stroma); 3- uterine glands; 4- muscular layer |
The mucous membrane forms a relief in the form of folds, which becomes even more pronounced in the cervix. The endometrium is formed by two layers (plates) of epithelial and proper. Epithelial plasticity is represented by a single-layer prismatic epithelium, in areas multi-row. The epithelium contains ciliated and glandular, as well as basal cells. The epithelium of the uterus is involved in the formation of glands, which have morphological differences in the body and cervix. Thus, in the body of the uterus, the mouths of the glands are wide and deep, slightly branched; in the cervix they are shorter, and the end sections are branched.The myometrium of the uterus of white mongrel rats, as well as in other mammals, is formed by bundles of smooth muscle tissue separated from each other by layers of loose fibrous tissue. Using immunohistochemical examination of the uterus, it was established that in the horns and body the myometrium consists of three layers: internal (submucosal), formed by circularly oriented myocytes; middle (vascular) with a small number of obliquely oriented smooth myocytes; external (supravascular) with obliquely longitudinal cells (Fig. 2). Many scientists have described only two layers in the myometrium [13]. In the caudal direction, the medial walls of the right and left horns of the uterus merge. The area of fusion is characterized by the unification of the outer shell of the perimetry and part of the myometrium, namely its supravascular and vascular layers. Thus, in the lower segment, a median septum is formed, dividing two cavities of the indistinctly defined body and cervix. The median septum in its structure is formed by the endometrium and myometrium. At the same time, the myometrium in its structure has submucosal layers and a single vascular layer. The vascular layer is more pronounced in the body. | Figure 2. Morphological structure of the uterus (myometrium) of a white mongrel rat before long-term use of energy drinks (normal) Stained with Schiff reagent and hematoxylin. Magnification 10x20. 1 - smooth muscles; 2 - circular muscles |
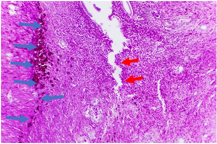
In (Fig. 3) the granules of mucopolysaccharides (glycosaminoglycans) that are part of collagen and give a positive reaction to PAS are outlined in yellow.PAS or PAS reaction is a qualitative reaction to aldehydes.PAS is a non-specific reaction. Interaction with many substances is difficult due to their unique structure. | Figure 3. Morphological structure of the uterus of a white mongrel rat after long-term consumption of energy drinks. Staining with Schiff reagent and hematoxylin. Positive PAS reaction for uterine tissue. Magnification 10x20. 1- proliferation and increase in the amount of type III collagen. (Reticular fibers) |
Kulling provides a list of substances that are stained by the PAS method  |
| |
|
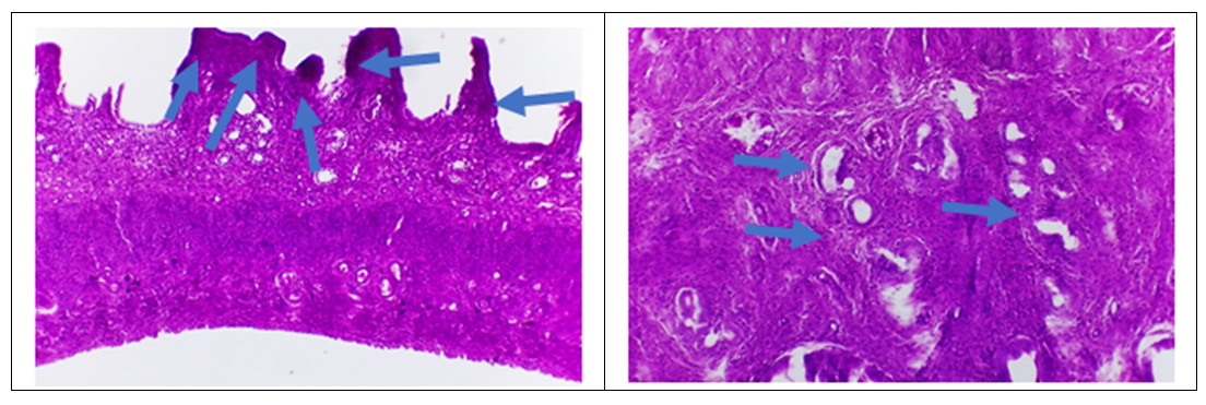
Glycosaminoglycans (part of collagen) mucopolysaccharides (from Latin mucus - mucus) - carbohydrate part of proteoglycans, polysaccharides, which include amino sugars-hexosamines. In the body, glycosaminoglycans are covalently linked to the protein part of proteoglycans and are not found in free form. The middle layer of the cervix is formed mainly by dense unformed fibrous connective tissue, where the leading functional tissue element is the intercellular substance with its fibrous part. Immunohistochemical typing of collagens of types I, II, III, IV, VIII showed that the maximum positive expression is determined for types I, III and IV, regardless of childbearing age [14].(Fig. 4) After long-term consumption of energy drinks in albino rats, significant changes in the morphological structure of the uterus are observed. When stained with Schiff reagent and hematoxylin and then enlarged, a positive PAS reaction was found in the uterine tissue. This indicates the proliferation and increase in the amount of type III collagen, which is represented by reticular fibers. Type III collagen is a key element in the structure of connective tissue and its increase may indicate the processes of fibrosis and tissue remodeling. In addition, metaplasia of the epithelium of the endothelial layer of the uterus was also detected. Metaplasia is a process in which one cell type is transformed into another cell type. In this case, the epithelium of the endothelial layer of the uterus underwent changes, possibly as an adaptive response to long-term exposure to energy drinks. These changes in the morphological structure of the uterus indicate potential pathological processes that may be associated with long-term consumption of energy drinks and require further study and attention. The fiber bundles expressing collagen types I and III in the cervix have a multidirectional course (Fig. 5). These types of collagen belong to the class of fibril-forming collagens, which participate in the formation of the stroma of parenchymatous organs experiencing constant or periodic mechanical load [15-18]. It is during pregnancy that the cervix realizes its support-mechanical function. | Figure 4. Morphological structure of the uterus of a white mongrel rat after long-term consumption of energy drinks. Staining with Schiff reagent and hematoxylin. Positive PAS reaction for uterine tissue. Magnification 10x20. proliferation and increase in the amount of type III collagen. (Reticular fibers). metaplasia of the epithelium of the endothelial layer |
 | Figure 5. Morphological structure of the uterus of a white mongrel rat after long-term consumption of energy drinks. Staining with Schiff reagent and hematoxylin. Positive PAS reaction on uterine tissue. Magnification 10x20. Proliferation and increase in the amount of type III collagen. (Reticular fibers) |
The results and discussion of this study show that long-term energy drink consumption in white mongrel rats causes significant changes in the morphological structure of the uterus. The detected proliferation and increase in the amount of type III collagen, represented by reticular fibers, indicate the processes of fibrosis and tissue remodeling. This may be associated with potential pathological changes in the uterus.In addition, the detected metaplasia of the epithelium of the endothelial layer of the uterus indicates processes in which one cell type is transformed into another cell type. In this case, this could be an adaptive response to long-term exposure to energy drinks.
4. Conclusions
Conclusion is that long-term energy drink consumption can cause pathological changes in uterine morphology, such as fibrosis and metaplasia. These results emphasize the need for further study and attention to the side effects of energy drink consumption on the body of the female reproductive system.
References
| [1] | Motygina A.S. Effect of energy drinks on biological material IX International Scientific Conference Sochi, November 7-10, 2021 |
| [2] | Grigorieva, Yu. V. Features of the structure of the myometrium of the lower uterine segment of laboratory rats // Fundamental research. - 2012. - No. 12-1. - P. 48-51. |
| [3] | Grigorieva, Yu. V. Morphological characteristics of myocytes of the myometrium of the uterus of rats during pregnancy and childbirth // Fundamental research. - 2013. - No. 12-2. - P. 195-199. |
| [4] | Malakshinova, L. M. Histological and histochemical characteristics of the uterus of female rabbits // The state and prospects for the development of the agro-industrial complex of Transbaikalia: Proceedings of the scientific and practical conference (February 4-6, 2003). - Buryat State Agricultural Academy named after V. R. Filippov. - Ulan-Ude, 2003. - P. 82-86. |
| [5] | Nozdrachev, A. D. Rat anatomy (laboratory animals). - St. Petersburg: Lan, 2001. - 464 p. |
| [6] | Tomitova, E. A. Histostructure, histochemical and morphological indices of the mucous membrane of the uterus, cervix and vagina of female rabbits in norm and under the influence of exogenous sex hormones // Actual aspects of ecological, comparative-species, age and experimental morphology: Proceedings of the international scientific and practical conference dedicated to the 100th anniversary of Professor Veniamin Yakovlevich Suetin (June 24-27, 2004) 2004. - P. 186-191. |
| [7] | Bekhtereva I. A., Dorosevich A. E. Histophysiology of the epithelial and connective tissue components of the vaginal part of the cervix // Morphology. - 2009. - V. 136. - No. 5. - P. 90-96. |
| [8] | Danilova N.V., Andreeva Yu.Yu., Malkov P.G. Differential diagnostics of precancerous and regenerative changes in the cervical epithelium using the immunohistochemical method // Archives of Pathology. - 2011. - Vol. 73. - No. 2. - P. 10-14. |
| [9] | Selyakova M.S., Ageeva T.A. Inflammatory response to precancerous changes in the stratified squamous epithelium of the cervix in women of different age groups // Federal State Budgetary Scientific Institution "Research Institute of Experimental and Clinical Medicine". Editor-in-chief: Academician of the Russian Academy of Sciences, Doctor of Medical Sciences, Professor V.A. Shkurupiy, 2015. - P. 254-256. |
| [10] | Bode, Michaela, Characterization of type I and type III collagens in human tissues. Department of Clinical Chemistry, University of Oulu, FIN-90014 University of Oulu, Finland, 2000. P. 76. |
| [11] | Duner P, Gongalves I, Grufman H, Edsfeldt A, To F, Nitulescu M, Nilsson J, Bengtsson E. Increased aldehyde-modification of collagen type IV in symptomatic plaques—a possible cause of endothelial dysfunction. Atherosclerosis. 2015 May; 240(1): 26-32. |
| [12] | Koc N, Arinkan SA, Ozbay NO, Selcuk S. Colloid Carcinoma of the Uterine Cervix and Its Immunohistochemical Analysis: A Case Report. J Pathol Transl Med. 2018 Jan; 52(1): 56-60. |
| [13] | Liu X, Wu H, Byrne M, Krane S, Jaenisch R. Type III collagen is crucial for collagen I fibrillogenesis and for normal cardiovascular development. Proceedings of the National Academy of Sciences of the United States of America. 1997; 94(5): 1852-1856. |
| [14] | Pepin M.G., Schwarze U., Rice K.M. et al. Survival is affected by mutation type and molecular mechanism in vascular Ehlers-Danlos syndrome (EDS type IV). Genet. Med. 2014; 16: 881-888. |
| [15] | Sanoev B.A., Niyozova T.Sh., Manifestations of n. uterine leiomyomas // New Day in Medicine // Issue. - 2020. - Vol. 2. - P. 526-528. |
| [16] | Sanoev B. A. Morphological and Morphometric Characteristics of the Placenta during Normal Pregnancy // Development of a modern education system and creative ideas for it, republican scientific-practical online conference on"" suggestions and solutions. – T. 2020. – P. 94-96. |
| [17] | Ishankulova D.KH., Ilyasov A.S., Ikhtiyarova G.A., Ishankulova Sh.A. Analysis of consumption of energy drinks among teens in Bukhara region // International Journal of Medical Sciences And Clinical Research (ISSN – 2771-2265) VOLUME 04 ISSUE 01, 2024. PAGES: 19-24. |
| [18] | Ishankulova D.KH., Ilyasov A.S., Ikhtiyarova G.A. Morphological characteristics of the uterus of white outbred rats // American Journal Of Biomedical Science & Pharmaceutical Innovation (ISSN – 2771-2753) Volume 04 ISSUE 01, 2024. PAGES: 22-27. |