Fayzullaeva Nilufar Avazovna, Askarova Zebo Zafarjonovna
Samarkand State Medical University, Uzbekistan
Correspondence to: Fayzullaeva Nilufar Avazovna, Samarkand State Medical University, Uzbekistan.
| Email: |  |
Copyright © 2025 The Author(s). Published by Scientific & Academic Publishing.
This work is licensed under the Creative Commons Attribution International License (CC BY).
http://creativecommons.org/licenses/by/4.0/

Abstract
The study included 120 perimenopausal patients. Of these, 70 patients had adenomyosis and 50 perimenopausal women without gynecological conditions, who were examined and treated in the gynecology department of the multidisciplinary clinic of Samara State Medical University from 2023 to 2025. The study also included 45 case histories of perimenopausal women with adenomyosis, which were studied retrospectively. Thus, the combination of adenomyosis and uterine fibroids was significantly more common in the study group: 28 (40±5.9%) and 9 (20±6%) in the study and comparison groups, respectively (p<0.05). When compared with histological data from excised tissue and ultrasound elastography, the diagnostic accuracy of adenomyosis using elastography was 88.6%, sensitivity 94.1%, specificity 85%, positive predictive value 80%, and negative predictive value 95.8%. These results demonstrate the high effectiveness of comprehensive ultrasound examination in women with adenomyosis in establishing a diagnosis and determining the severity of adenomyosis.
Keywords:
Adenomyosis, Ultrasound elastography
Cite this paper: Fayzullaeva Nilufar Avazovna, Askarova Zebo Zafarjonovna, The Importance of a Comprehensive Ultrasonic Examination in the Diagnosis of Adenomyosis in Women in Perimenopause, American Journal of Medicine and Medical Sciences, Vol. 15 No. 10, 2025, pp. 3747-3752. doi: 10.5923/j.ajmms.20251510.100.
1. Introduction
Perimenopause marks a turning point for adenomyosis, when hormonal and immunological shifts converge to shape its trajectory. Estrogen surges, unchecked by declining progesterone, can fuel lesion growth, increasing pain and bleeding [5]. Concurrently, age-related immune changes, such as increased inflammation, can exacerbate the underlying pathology of the condition, creating a feedback loop of worsening symptoms [6,8]. This dual influence makes perimenopause a period of heightened vulnerability, when adenomyosis can transition from a manageable problem to a dominant health issue. When combined with perimenopausal issues such as sleep disturbances or anxiety, adenomyosis can trigger a profound decline in well-being. Treatment options also create dilemmas: hormonal therapy may conflict with menopausal management, while hysterectomy, although curative, carries significant physical and emotional burden [11,12]. For women at this stage of life, the lack of individualized solutions compounds their burden, highlighting the critical need for innovative strategies. Adenomyosis emerges as a multifaceted disorder intersecting gynecological, hormonal, and immunological domains. Its definition as endometrial invasion of the myometrium only superficially captures its impact, which peaks in prevalence and severity among perimenopausal women. Affecting up to 30% of women, its epidemiology reveals a widespread but underrecognized problem [1,2]. Despite its high accuracy, histological examination is inherently invasive, limiting its use to cases where surgery is already planned or where fertility preservation is not an issue. Its reliance on postoperative tissue also makes it impractical for routine diagnosis, particularly in young women or those seeking conservative treatment. However, it remains a valuable tool in research settings or when imaging results are equivocal, providing definitive confirmation that noninvasive methods tend to approach [7,9]. Transvaginal ultrasound (TVUS) has become the cornerstone of adenomyosis diagnosis due to its widespread availability, affordability, and noninvasive nature [3,10]. This imaging modality allows physicians to visualize the uterus in real time, identifying features suggestive of adenomyosis, including:• Uterine asymmetry: A spherical or unevenly enlarged uterus.• Myometrial heterogeneity: Changes in echogenicity within the myometrium.• Subendometrial streaks: Echogenic lines indicating endometrial invasion.• Cystic spaces: Small anechoic areas representing dilated glands.Studies show that the sensitivity and specificity of TVUS for adenomyosis range from 50% to 87% and 74% to 98%, respectively [4]. However, these figures are highly dependent on operator skill and equipment quality. In experienced hands, TVUS can reliably detect adenomyosis, but its accuracy is reduced when leiomyomas or other uterine abnormalities obscure the visualization field [5]. Perimenopausal women face additional challenges due to age-related uterine changes, such as increased myometrial thickness or calcifications, which can mimic features of adenomyosis [6]. Despite these limitations, TVUS remains the preferred initial approach due to its practicality and ability to guide further diagnostic steps.In recent years, studies have emerged exploring the potential of elastography in the diagnosis of adenomyosis [1–8]. V. V. Mitkov [4] used shear wave elastography, a technique independent of the degree of tissue compression by the transducer, to assess myometrial stiffness in patients with adenomyosis. The data obtained were retrospectively compared with the results of a morphological examination of the surgical specimen and hysteroscopy data with separate diagnostic curettage.
2. The Aim of the Study
Was to evaluate the effectiveness of a comprehensive ultrasound examination in women with adenomyosis during perimenopause.In light of these goals and objectives, we examined 120 perimenopausal patients. Of these, 70 patients with adenomyosis and 50 perimenopausal women without gynecological diseases were examined and treated in the gynecology department of the multidisciplinary clinic of the Samara State Medical University from 2023 to 2025. And 45 case histories of perimenopausal women with adenomyosis were retrospectively studied and treated in the gynecology department of the multidisciplinary clinic of the Samara State Medical University from 2020 to 2022.The examined women were divided into three groups: Group 1, 70 patients with a verified diagnosis of adenomyosis.Group 2, 50 perimenopausal women without gynecological diseases.Group 3, 45 retrospectively reviewed medical records of perimenopausal women with adenomyosis. The age of those examined ranged from 45 to 52 years, with an average of 48.6±1.6 years. The following data served as inclusion criteria for the study: perimenopausal age, morphologically confirmed diagnosis of adenomyosis, absence of antibacterial therapy for the past 3 months to objectively assess the infection status, and absence of hormonal therapy for the past 3-6 months. Informed consent was a prerequisite for participation in the study.
3. Exclusion Criteria
Patients with coagulopathy and iatrogenic bleeding, as well as malignant diseases of any location, were not included in the study. Ultrasound examination of the pelvic organs was performed on days 5-7 of the menstrual cycle in patients with bleeding, and in patients with a delayed menstruation, regardless of the cycle, using the Voluson730-Expert (Japan) devices, which belong to contact scanning systems and operate in real time, with a transabdominal sensor RA 134-8-D and a transvaginal sensor RIC 6-12-D and "Aloka SSD 500" (Japan) with a transvaginal convex sensor with a frequency of 7-12 MHz. Echographically, the size, position, blood supply and structure of the cervix and body of the uterus, the presence of inclusions in the myometrium were determined, the thickness and structure of the endometrium (M-echo), the structure of the ovarian tissue, the presence and volume of fluid in the retro-uterine space were also assessed [1,4]. To make the method more objective, shear wave elastography (SWE) has recently been used. It allows for the quantitative determination of tissue stiffness (elasticity). SWE is a method for the objective quantitative determination of tissue stiffness (elasticity), characterizing the condition of the organs and tissues being examined. Quantitative indicators of the ultrasound elasticity of organs and tissues can include Young's modulus, shear (transverse) wave velocity, elasticity indices (SWE ratio), etc. It is possible to measure and express these indicators numerically as the velocity of a wave diverging from the zone of impact of a high-power acoustic pulse on the object being examined. The stiffer the object being examined, the higher the shear wave velocity. SWE technology is considered more objective and reproducible than CEG [12]. The rigidity of the myometrium in nodular and diffuse forms of its damage, in the presence of adenomyosis, benign myomatous nodes, malignant lesions, determined by elastometry data, differs significantly from that of the unchanged myometrium. The velocity of propagation of a transverse wave in the unchanged myometrium, according to the results of various researchers, can vary within the range from 1.20 to 3.63 m/s, rigidity - 5-114 kPa; in adenomyosis - 2.40-4.50 m/s, 31-180 kPa; in benign myomatous nodes - 0.92-3.97 m/s, 25-55 kPa. The sensitivity of elastometry in the diagnosis of adenomyosis is 76.9-92.2%, specificity - 71.1-88.8% [12]. Ultrasound examination and elastography of the uterus were performed at the Department of Medical Radiology of the Faculty of Postgraduate Education of the SamSU by the assistant of the department, Associate Professor A.S. Ametova.When examining the medical records of patients with adenomyosis, various types of uterine fibroids were detected sonographically in every fifth patient (9 patients, 20%) (Fig. 1). Given the high sensitivity and specificity of a comprehensive ultrasound examination, including Doppler ultrasound and ultrasound elastography, patients in the study group underwent a comprehensive ultrasound examination (Table 1). The following features were used to assign ultrasound signs to the stages of adenomyosis.Table 1. Degrees of adenomyosis in women examined in the comparison group (retrospective analysis)  |
| |
|
 | Figure 1. Types of adenomyosis in the examined women of the comparison group (retrospective analysis) |
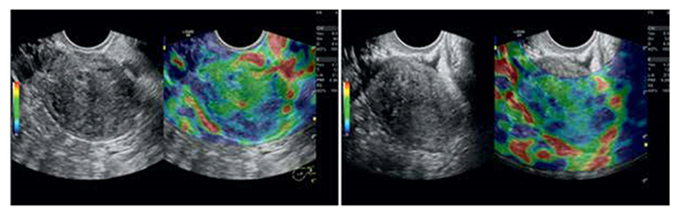
Signs of stage I adenomyosis:• formation of small (approximately 1 millimeter in diameter) anechoic cylindrical structures originating from the endometrium in a direction toward the myometrium;• appearance of small hypo- and anechoic connections in the basal layer of the endometrium, convex or rounded in shape, approximately 1–2 millimeters in diameter;• discontinuous thickness of the basal layer of the endometrium;• serration or unevenness of the base layer of the endometrium;• detection of "bittenness" or localized damage to the endometrium;• the appearance in the myometrium directly adjacent to the uterine cavity of single zones of high echogenicity up to 3 millimeters wide.Signs of grade II adenomyosis:• an increase in the thickness of the uterine walls exceeding the upper limit of normal;• a thickening of one uterine wall compared to the other by 0.4 cm or more;• the appearance in the myometrium directly adjacent to the uterine cavity of zones of increased heterogeneous echogenicity of varying thickness;• the appearance in the zone of increased echogenicity of small rounded anechoic formations 2-5 mm in diameter, as well as fluid cavities of various shapes and sizes containing a fine suspension (blood), and sometimes dense inclusions of low echogenicity (blood clots);• ultrasound signs observed in stage I disease (they are also characteristic of all other manifestations of internal endometriosis).Uterine thickness in stage II adenomyosis is increased in approximately half of patients.Signs of stage III adenomyosis revealed on scans:• uterine enlargement in the main anteroposterior volume;• preferential increase in the thickness of one of the uterine walls;• the appearance of an area of high mixed echogenicity in the myometrium, occupying more than fifty percent of the uterine wall thickness;• the detection of anechoic connections with a diameter of 2–6 mm or fluid cavities of various shapes and volumes, including a finely dispersed suspension, in the echogenic area;• the appearance of numerous adjacent stripes of typical low echogenicity, directed vertically to the plane of recognition, in the painful area. • detection in the area of the leading front of recognition of an area of high echogenicity, and also an anechoic area in the area of the distant front;Ultrasound elastography revealed marked diffuse heterogeneity of myometrial staining in 72% of patients with diffuse adenomyosis. Mixed mosaic staining was observed in 61% of cases (Fig. 2), shades of blue in 33%, and shades of red in 6%. | Figure 2. Ultrasound elastography of the uterus, diffuse and nodular types of adenomyosis |
In adenomyosis, the myometrium was stained in shades of red in 83.3% of cases and shades of yellow in 8.3% of cases. Heterogeneous red staining was observed in 61.1% of cases, and heterogeneous staining in shades of red, yellow, and light blue was observed in 38.9% of cases (Fig. 3). | Figure 3. Patient K-va, 49 years old, file number 5453. Ultrasound image of diffuse adenomyosis |
Among the patients in the study group, various types of uterine fibroids were detected by ultrasound in 28 patients (40±4.9%). The detected types of uterine fibroids were classified according to the FIGO classification; intramural fibroids were diagnosed more frequently by ultrasound than other types—7 (25±4.2%).The largest node measured 31 mm in diameter, while the average myomatous node size in both groups was 17.0 (12.0-20.0) mm (Figs. 4, 5, 6). The ultrasound imaging features of the myometrium were also studied (Table 2).Table 2. Frequency of ultrasound signs of myometrial pathology, M±m  |
| |
|
 | Figure 4. Distribution of patients with fibroids according to the FIGO classification |
 | Figure 5. Patient Kh-va, 49 years old. Source No. 878. Ultrasound image of a submucous node and grade I adenomyosis |
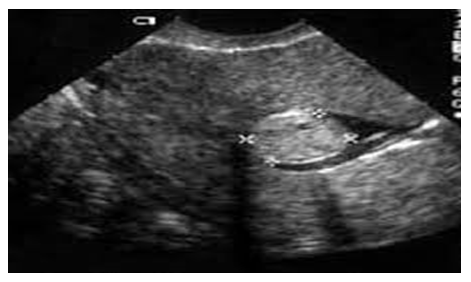
 | Figure 6. Patient Kh-va, 49 years old, Record No. 879. Ultrasound revealed a submucous fibroid |
Thus, 40% of patients in the study group and 20% of retrospectively studied patients with adenomyosis had a combination of adenomyosis and uterine myoma. This significant difference is likely due to the lack of a sensitive method such as ultrasound elastography, p < 0.001.There was also a difference in the severity of adenomyosis between patients in the study group and the comparison group (Table 3).Table 3. Echographic degrees of adenomyosis, M±m  |
| |
|
Adenomyosis combined with uterine fibroids was detected by ultrasound in 28 (40±5.9%) patients in the study group and in 9 (20±6%) patients in the comparison group.
4. Conclusions
Thus, the combination of adenomyosis and uterine myoma was significantly more common in the study group of patients - 28 (40±5.9%) and 9 (20±6%) in the study and comparison groups, respectively (p<0.05). Moreover, uterine myoma was detected during ultrasound examination in every third patient in both the study and comparison groups. Intramural myoma was significantly more common in patients in the study group (p<0.05).When compared with histological data from removed tissue and ultrasound elastography, the accuracy of adenomyosis diagnosis by elastography was 88.6%, sensitivity was 94.1%, specificity was 85%, the predictive value of a positive test was 80%, and that of a negative test was 95.8%. These results demonstrate the high effectiveness of a comprehensive ultrasound examination in women with adenomyosis in making a diagnosis and determining the severity of adenomyosis.
References
| [1] | Balan V.E. Menopausal hormone therapy: maximum benefit with minimal risks / V.E. Balan, E.V. Tikhomirova // Medical alphabet. 2018. Vol. 1. No. 6 (343). Pp. 6-9. |
| [2] | Govorov I.E. Metabolomic markers of oncogynecological diseases / I.E. Govorov, E.A. Kalinina, S.I. Sitkin et al. // Treatment and prevention. - 2018. - Vol. 8. - No. 3. - Pp. 54-60. |
| [3] | Denisova, V. M. External genital endometriosis: various aspects of the problem / V. M. Denisova, M. I. Yarmolinskaya // Journal of obstetrics and women's diseases. — 2015. — V. 64, No. 1. — P. 44-52. |
| [4] | Dobrokhotova Yu.E. Menorrhagia: Are There Solutions? / Yu.E. Dobrokhotova, D.M. Ibragimova, I.I. Grishin // Medical Council. - 2016. - No. 12. - P. 12-13. |
| [5] | Khokhlova, S.V. Immunotherapy and Endometrial Cancer. Khokhlova S.V. / URL: https://rosoncoweb.ru/news/oncology/2020/03/10-2/. |
| [6] | Chernukha, G.E. On the Issue of Hormonal Sensitivity of Endometrial Polyps and the Efficiency of Using a Levonorgestrel-Containing Intrauterine System as a Secondary Prevention Method. G.E. Chernukha, A.V. Asaturova, I.A. Ivanov, A.A. Korshunov / Obstetrics and Gynecology, 2020, 6, p. 65-71. |
| [7] | Analysis of gene expression in the endocervical epithelium of women with deep endometriosis / A. Kopelman, M. J. Girao, T. C. Bonetti et al. //Reprod. Sci. — 2016. — Vol. 23, No. 9. - P. 1269-1274. |
| [8] | Adams, C., & Brooks, T. (2021). Adenomyosis: Clinical implications of immunity. Clinical Medicine, 21(4), 289-295. https://doi.org/10.7861/clinmed.2021-0123. |
| [9] | Wang, C. Estrogen Receptor, Progesterone Receptor, and HER2 Receptor Markers in Endometrial Cancer. C. Wang, D.A. Tran, M.Z. Fu, W. Chen, S.W. Fu, X. Li/J Cancer. 2020; 11(7): 1693-1701. doi:10.7150/jca.41943. |
| [10] | Weigel, N.L. Steroid Receptor Crosstalk With Cellular Signaling Pathways. N.L. Weigel, A. Acevedo-Rodriguez, S.K. Mani. / Reference Module in Neuroscience and Biobehavioral Psychology, 2017. |
| [11] | Wise, J. Women with endometriosis show higher risk for heart disease / J. Wise // BMJ. - 2016. - Vol. 353. - P. i1851. |
| [12] | World Health Organization. (2021). Fact sheet on women's health. https://www.who.int/news-room/fact-sheets/detail/women-s-health. |