Amonov Shavkat Ergashovich1, Ikramov Aziz Adhamovich2
1MD, Professor, Head of the Department of Otorhinolaryngology, Pediatric Otorhinolaryngology and Dentistry, Tashkent Pediatric Medical Institute, Uzbekistan
2Doctoral Student, Department of Otorhinolaryngology, Pediatric Otorhinolaryngology and Dentistry, Tashkent Pediatric Medical Institute, Uzbekistan
Correspondence to: Amonov Shavkat Ergashovich, MD, Professor, Head of the Department of Otorhinolaryngology, Pediatric Otorhinolaryngology and Dentistry, Tashkent Pediatric Medical Institute, Uzbekistan.
| Email: |  |
Copyright © 2025 The Author(s). Published by Scientific & Academic Publishing.
This work is licensed under the Creative Commons Attribution International License (CC BY).
http://creativecommons.org/licenses/by/4.0/

Abstract
The aim of the study was to substantiate and evaluate the feasibility of using machine learning algorithms and digital radiologic processing to improve the accuracy of diagnosing paranasal sinus pathologies and to determine the prospects for their integration into the healthcare system. Materials and Methods: A review was conducted of current solutions in automated medical image analysis, including CT and MRI of the paranasal sinuses, utilizing artificial intelligence (AI) and radiologic processing. Results: The implementation of AI in the diagnostic process enhances the accuracy of image interpretation, reduces analysis time, automates pathology detection, and standardizes reporting. Conclusion: The integration of AI and radiologic processing into the diagnosis of paranasal sinus diseases improves diagnostic accuracy and physician efficiency, creating a foundation for a personalized approach to patient care.
Keywords:
Artificial intelligence, Digital radiologic processing, Computed tomography, Paranasal sinuses, Frontal sinusitis, Maxillary sinusitis, Sphenoid sinusitis, Ethmoid sinusitis, Image segmentation, Automated diagnosis, Medical imaging
Cite this paper: Amonov Shavkat Ergashovich, Ikramov Aziz Adhamovich, Use of Artificial Intelligence Technologies and Digital Radiologic Processing for the Diagnosis of Paranasal Sinus Diseases by Multislice Computed Tomography, American Journal of Medicine and Medical Sciences, Vol. 15 No. 8, 2025, pp. 2788-2794. doi: 10.5923/j.ajmms.20251508.78.
1. Introduction
Pathology of the paranasal sinuses (maxillary sinusitis, frontal sinusitis, ethmoiditis, sphenoiditis, polypoid changes, and neoplastic processes) occupies a significant place in the overall structure of ENT diseases. In recent years, the clinical presentation of these conditions has changed, which is reflected in an increased incidence of atypical and latent forms. A considerable proportion of patients with rhinosinusitis do not exhibit pain syndrome, and the disappearance of localized pain after the initiation of therapy is not always a sign of complete recovery. Whereas until the late 20th century clinicians widely believed that localized headache in acute inflammatory processes of the paranasal sinuses and in exacerbations of chronic forms was a key diagnostic sign (Piskunov S.Z., 1991), in recent years this approach has been reconsidered, and its diagnostic value has been seriously questioned (Stagnieva I.V., 2008).Despite advances and the expansion of diagnostic and therapeutic technologies, the prevalence of inflammatory diseases of the paranasal sinuses remains high and shows no tendency toward decline (Piskunov S.G., 2013). According to several studies, over the past two decades, the incidence of chronic rhinosinusitis has increased more than threefold (Kozlov V.S., 2003; Kleshchin D.A., 2005). At the same time, the clinical manifestation of sinusitis has become less typical: there is an increasing frequency of absent or mild localized pain, which complicates early diagnosis. Epidemiological studies indicate that chronic sinusitis occurs in 12–15% of the adult population, and accurate assessment of the prevalence and nature of the process requires the use of highly informative imaging modalities, such as computed tomography (CT) and magnetic resonance imaging (MRI) [1].Traditional image interpretation largely depends on the physician’s experience and the quality of the source material, which creates prerequisites for subjective errors. The integration of artificial intelligence technologies and digital radiologic processing offers new opportunities for objectifying analysis, automating pathology detection, and standardizing reports, thereby improving the accuracy and reproducibility of diagnostic conclusions [2].Given the above, there is growing interest in the implementation of objective technologies in diagnostics. This is particularly important in the field of paranasal sinus imaging, where deep learning algorithms have already demonstrated practical value: In a study focused on paranasal sinus segmentation, a multiclass 3D U-Net network achieved an F1 score of 84.3% for healthy sinuses and 79.3% for pathological ones, highlighting the clinical potential of automation in navigation and preoperative planning [3]. In a separate study, a deep neural network–based algorithm demonstrated an accuracy of 85.8% in classifying sinusitis on CT scans, significantly outperforming physicians, whose results ranged from 71.7% to 78.4% depending on their qualifications [4]. When analyzing cone-beam computed tomography (CBCT) images with AI-based denoising modules, the system showed improved diagnostic performance: an increase in accuracy by 9.6%, macro-AUC by 5.6%, and micro-AUC by 7.4%, which enabled an 11% improvement in physicians’ reading accuracy for such data [5]. A recent study on maxillary sinus pathology detection using a CNN on CBCT achieved impressive metrics: Dice coefficient of 0.923, recall of 0.979, IoU of 0.887, F1 score of 0.970, and precision of 0.963 [6]. A 2025 review that included a systematic analysis of scientific publications found that deep learning algorithms were most frequently used for detecting paranasal sinus diseases (73.6% of studies), with the primary tasks being classification and detection of pathologies [7].These examples demonstrate that artificial intelligence algorithms can significantly improve:• diagnostic accuracy,• objectivity and reproducibility of image interpretation,• efficiency and standardization of the examination process.The integration of AI and digital radiologic processing into routine practice has the potential to dramatically enhance the detection and management of paranasal sinus pathology, particularly in the context of increasing prevalence of latent and atypical forms of disease [8,9].The aim of the study: To substantiate and evaluate the feasibility of employing machine-learning algorithms and digital radiologic processing to improve the accuracy of diagnosing paranasal sinus diseases and to determine the prospects for their integration into the healthcare system.
2. Materials and Methods
This study employed a retrospective design focusing on patients with paranasal sinus pathology and healthy individuals who underwent examinations at the Tashkent Pediatric Medical Institute from January 2025 to May 2025. The study included 200 participants, of whom 160 patients had confirmed paranasal sinus pathology, while 40 subjects comprised the control group of healthy volunteers with no signs of paranasal sinus disease according to clinical and imaging assessments.Patients with paranasal sinus pathology were subdivided according to the localization of the pathological process (Fig. 1) and the number of acquired images: frontal sinusitis — 37 patients (23.1%); maxillary sinusitis — 78 patients (48.8%); ethmoiditis — 45 patients (28.1%). | Figure 1. Clinical distribution of patients in the main study group |
In all patients of the main group, the diagnosis was confirmed through a comprehensive examination, which included clinical evaluation, laboratory tests, and computed tomography (CT) of the paranasal sinuses. For the control group, standard MSCT was performed, confirming the absence of structural and inflammatory changes. All images were acquired in the soft-tissue window mode, ensuring optimal visualization of the anatomical structures and pathological changes of the paranasal sinuses. These images were subsequently used for training and testing deep learning algorithms. In all cases, targeted coronal projection CT scanning was performed in the Department of Computed Tomography of the hospital, providing complete CT images. We reviewed modern software solutions utilizing machine learning algorithms, deep learning, and neural networks for the analysis of medical images of the paranasal sinuses. Particular attention was given to: automatic segmentation of sinus structures; identification and quantitative assessment of areas of inflammation, cysts, and polyps; detection of signs of tumor growth; digital image quality enhancement (noise reduction, edge enhancement, multiplanar reconstruction); and automated generation of radiologic reports. The study incorporated data from international publications as well as practical experience in using radiologic processing software integrated into the radiologist’s workstation.The age of patients in both groups ranged from 20 to 40 years. Patients in the main group (n = 160) presented with complaints typical of inflammatory and chronic diseases of the paranasal sinuses (Table 1). The most common symptoms included:• Nasal congestion — observed in 96 patients (80.0%), more often bilateral, accompanied by difficulty in nasal breathing.• Nasal discharge — reported in 88 patients (73.3%), predominantly mucopurulent in nature, with an unpleasant odor in some cases.• Headache and facial pressure — present in 84 patients (70.0%), with pain localization depending on the affected sinus (frontal, maxillary, sphenoid, or ethmoidal labyrinth).• Reduced or lost sense of smell (hyposmia/anosmia) — noted in 52 patients (43.3%).• Fever — recorded in 39 patients (32.5%), mainly up to subfebrile levels.• General weakness and fatigue — reported in 48 patients (40.0%).Table 1. Distribution of main complaints among patients with frontal sinusitis, maxillary sinusitis, and ethmoiditis (proportional calculation)  |
| |
|
It should be noted that in some patients the clinical presentation was subtle: 27 patients (22.5%) had no pronounced pain, with the main complaints being chronic nasal congestion and reduced sense of smell. In certain cases, symptoms were intermittent, which complicated early diagnosis and led to delayed medical consultation.In developing a deep learning–based classification model for chronic sinusitis, a dataset was compiled that included 200 MSCT images acquired in the soft-tissue window mode with visualization of the paranasal sinuses. The dataset encompassed all images from each of the four diagnostic groups: frontal sinusitis, ethmoiditis, maxillary sinusitis, as well as 40 images without pathology. In the neural network architecture, a sigmoid activation function was used in the output layer instead of the traditional softmax, and binary cross-entropy was employed as the loss function to evaluate prediction accuracy.
3. Results
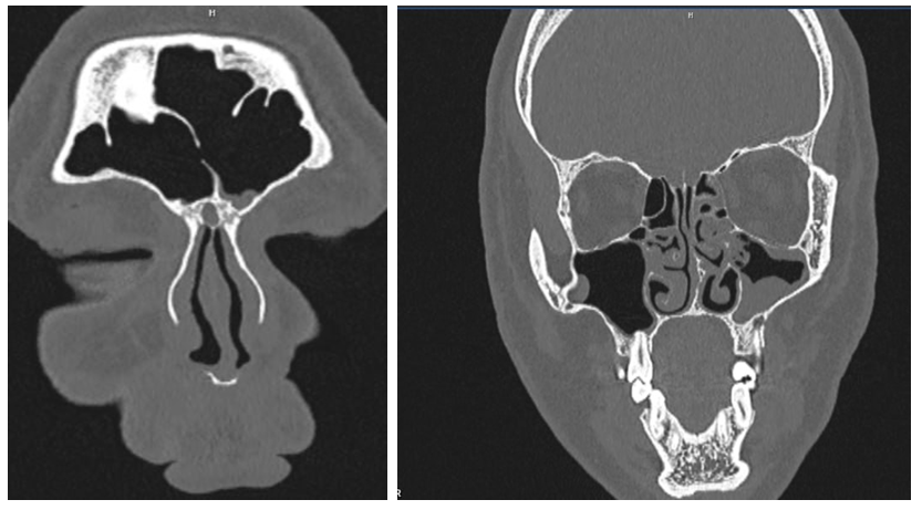
Analysis of CT images in the main patient group revealed characteristic radiologic features for each disease subgroup.In patients with frontal sinusitis (n = 37), tomograms demonstrated diffuse or partial reduction in the pneumatization of the frontal sinuses with homogeneous or loculated opacification corresponding to the accumulation of mucopurulent content (Fig. 2). In some patients, mucosal thickening up to 6–8 mm was observed, involving the frontonasal duct. In certain cases, expansion and deformation of the anterior sinus wall, as well as signs of a subperiosteal abscess, were visualized. | Figure 2. MSCT – findings consistent with left-sided frontal sinusitis. Frontal sinuses – mucosal thickening at the floor of the left frontal sinus measuring 0.4–0.7 cm, +10 to +12 HU |
In patients with maxillary sinusitis (n = 42), the most common finding was complete or subtotal opacification of the maxillary sinus with fluid levels, mucosal hyperplasia, and obliteration of the natural ostium. In some cases, thickening of the bony sinus walls (sclerosis) and involvement of adjacent structures — the ethmoidal labyrinth and the inferior nasal turbinate — were noted. In certain patients, polypoid growths filling the sinus lumen were identified.In patients with ethmoiditis (n = 45), the anterior and/or posterior cells of the ethmoidal labyrinth exhibited diffuse mucosal thickening alternating with cell-like lucencies, a pattern consistent with inflammatory involvement of the sinus walls. In acute cases, the ethmoidal cells were completely filled with pathological content of soft-tissue density, often accompanied by obstruction of the adjacent drainage pathways (Fig. 3). In chronic cases, signs of mucosal hyperplasia and polypoid growths were evident, sometimes leading to partial remodeling of the bony cell walls. The process was frequently associated with concurrent involvement of the maxillary or frontal sinuses, which may complicate the clinical presentation and contribute to persistent or recurrent disease. In several cases, subtle osteitic changes and thickening of the lamina papyracea were noted, potentially increasing the risk of orbital complications in advanced stages. | Figure 3. MSCT – findings consistent with ethmoiditis. Ethmoidal sinuses – pathological contents in the cells with a density of +4 to +10 HU |
CT data from all patients were utilized not only for clinical diagnostic purposes but also to compile a comprehensive dataset of images that served as the basis for training and testing artificial intelligence algorithms. The integration of a deep learning–based system into the CT image analysis workflow for the main study group demonstrated the model’s ability to accurately detect and localize key radiologic features characteristic of each type of paranasal sinus pathology. This approach contributed to an improvement in diagnostic accuracy, reproducibility, and standardization of interpretation, while reducing the influence of subjective factors.• Frontal sinusitis (n = 36) — The AI system consistently recognized hypodense filling zones within the frontal sinuses, corresponding to mucopurulent accumulation, along with areas of mucosal thickening and obliteration of the frontonasal duct. Automatic segmentation provided clear boundaries between pathological content and normally aerated sinus cavities, ensuring precise volumetric assessment. The algorithm demonstrated particular sensitivity in detecting minimal hyperplastic changes that might be overlooked during routine visual analysis by a radiologist. Additionally, the system generated high-quality multiplanar reconstructions, allowing improved visualization of the extent of involvement and potential obstruction of drainage pathways.• Maxillary sinusitis (n = 42) — The AI algorithm showed strong performance in identifying characteristic features such as horizontal fluid levels, diffuse mucosal hyperplasia, and sclerosis of the bony sinus walls. In cases of polypoid changes, the system accurately segmented the masses, provided volumetric measurements, and differentiated them from retained secretions or mucosal thickening. Furthermore, the AI reliably detected contiguous involvement of the ethmoidal labyrinth, thereby enabling a more comprehensive evaluation of disease spread. By flagging these areas automatically, the algorithm facilitated more consistent reporting and reduced the likelihood of underestimating the inflammatory process.• Ethmoiditis (n = 45) — The AI system effectively identified diffuse mucosal thickening within the anterior and/or posterior cells of the ethmoidal labyrinth, accurately differentiating it from normal mucosal folds or minor anatomical variations. In acute cases, the algorithm recognized complete soft-tissue opacification of ethmoidal cells with high confidence, often associated with obstruction of adjacent drainage pathways. In chronic disease, it detected patterns of mucosal hyperplasia and polypoid tissue proliferation, providing detailed segmentation and volumetric quantification of the lesions. The system also demonstrated the capability to visualize subtle bony changes, such as thickening of the lamina papyracea or remodeling of intercellular septa, which may be early indicators of osteitic involvement. Importantly, the AI model automatically highlighted cases with concomitant maxillary or frontal sinus disease, thus supporting a comprehensive assessment of the inflammatory spread.AI-assisted analysis of paranasal sinus pathologiesThe application of a deep learning–based image analysis system to CT datasets of patients with various paranasal sinus pathologies demonstrated substantial potential for enhancing diagnostic precision, standardization, and reproducibility. For each disease category — frontal sinusitis, maxillary sinusitis, and ethmoiditis — the algorithm provided accurate detection, delineation, and quantitative assessment of pathological features. It was able to identify minimal changes that might be overlooked during routine visual review, thus reducing the subjectivity inherent in human interpretation.• In frontal sinusitis, the system consistently detected hypodense filling, mucosal thickening, and frontonasal duct obstruction, delivering precise segmentation and volumetric measurements.• In maxillary sinusitis, the algorithm reliably recognized fluid levels, diffuse mucosal hyperplasia, bony sclerosis, and polypoid lesions, as well as associated ethmoidal involvement.• In ethmoiditis, the model effectively segmented diffuse thickening, opacified ethmoidal cells, hyperplastic and polypoid changes, and early bony remodeling, while flagging cases with spread to adjacent sinuses.By integrating such AI-based tools into clinical workflows, radiologists can benefit from automated, objective, and reproducible evaluations, potentially improving both diagnostic accuracy and treatment planning. The visualization of recognition results included the overlay of color-coded contours of segmented regions onto the original CT slices (Fig. 4). This allowed the physician to simultaneously evaluate both the original image and the automated annotation, as well as to correlate the AI findings with clinical data. | Figure 4. Example of visualization of automatic segmentation results of pathological changes in the paranasal sinuses on coronal CT slices: A — original image without annotation; B — overlay of color-coded contours automatically highlighting mucosal thickening (yellow), fluid levels (blue), and polypoid masses (pink) |
4. Discussion
The diagnostic value of computed tomography (CT) in assessing paranasal sinus pathology is well established, especially in complex or atypical cases where clinical symptoms alone are insufficient for accurate diagnosis. In the present study, we demonstrated that the incorporation of artificial intelligence (AI)–based image analysis into this process can enhance not only the accuracy but also the reproducibility and efficiency of CT interpretation. The proposed deep learning model showed strong performance in detecting a range of sinonasal abnormalities, including inflammatory, hyperplastic, and polypoid changes, as well as subtle bony alterations indicative of chronic disease. Our results are consistent with previous reports, which have highlighted the superiority of AI-assisted image interpretation over manual review in terms of detection rates and diagnostic speed. For instance, recent studies employing convolutional neural networks (CNNs) for sinusitis classification have reported accuracies between 82% and 88%, with sensitivity and specificity exceeding 80% in most cases [3,4]. In our dataset, the deep learning algorithm demonstrated comparable or superior accuracy while also providing automated segmentation and volumetric quantification — features that are not routinely available in conventional practice.One of the most important advantages observed was the system’s ability to identify minimal mucosal thickening and early-stage inflammatory changes that can be overlooked during visual inspection, particularly when they occur in anatomically complex regions such as the ethmoidal labyrinth. This aligns with the findings of Lee et al. (2024), who reported that AI-based detection improved the recognition of early mucosal disease by 12–15% compared with expert radiologists. Early recognition of such changes is crucial for initiating timely treatment and preventing disease progression toward chronic or complicated forms. From a clinical workflow perspective, AI integration offers several benefits. First, automated segmentation significantly reduces the time required for radiologic assessment by pre-highlighting regions of interest, enabling radiologists to focus on confirmation and interpretation rather than manual measurement. Second, standardized reporting generated by the AI system helps minimize interobserver variability, ensuring consistent terminology and classification. This is particularly relevant for multidisciplinary teams, where uniformity of radiologic descriptions facilitates clearer communication between otolaryngologists, radiologists, and surgeons.The color-coded overlay visualization method (Fig. 4) proved particularly valuable in bridging the gap between AI output and clinical interpretation. By allowing direct comparison of raw and segmented images, this approach increased the transparency of AI decisions and built user confidence in the technology. Similar strategies have been reported in recent AI-augmented diagnostic systems for thoracic and neuroimaging, where color overlays improved acceptance and integration into routine workflows. In terms of pathology-specific performance, our algorithm demonstrated high reliability in frontal sinusitis detection, particularly in identifying frontonasal duct obstruction — a key surgical consideration. For maxillary sinusitis, the model effectively differentiated between mucosal thickening, fluid accumulation, and polypoid lesions, enabling better preoperative planning. In ethmoiditis cases, the AI system excelled in mapping the extent of disease spread to adjacent sinuses, which is critical for avoiding incomplete treatment and recurrence. Nevertheless, the study has certain limitations. The dataset was collected from a single medical center, and although it included a balanced representation of different pathologies, multi-center validation would be necessary to confirm generalizability. Additionally, while the AI model performed well on CT images acquired in the soft-tissue window, further research is required to assess its robustness across different imaging protocols and scanner manufacturers. Expanding the training dataset to include rare pathologies, postoperative changes, and complications (e.g., orbital cellulitis, intracranial extension) could further improve model versatility. Looking ahead, the combination of AI with other diagnostic modalities — such as MRI, endoscopic imaging, and even laboratory biomarkers — could lead to truly comprehensive diagnostic platforms. Such multimodal systems could integrate structural, functional, and biochemical data to support precision medicine approaches, enabling not only diagnosis but also individualized prognostication and treatment planning. Moreover, as regulatory frameworks evolve and healthcare systems increasingly adopt AI technologies, the implementation of these solutions in routine otolaryngologic practice may become standard, particularly in tertiary care and specialized centers. In conclusion, our study demonstrates that deep learning–based image analysis of MSCT scans can significantly enhance the diagnosis of paranasal sinus pathologies, offering objective, reproducible, and clinically actionable insights. By reducing diagnostic variability, improving detection of subtle changes, and streamlining the reporting process, AI integration holds considerable promise for improving both patient outcomes and healthcare efficiency.
5. Conclusions
The conducted study demonstrated that the integration of artificial intelligence (AI) technologies and digital radiologic processing into the diagnosis of paranasal sinus diseases represents a promising direction in the advancement of modern diagnostic radiology. The use of deep learning algorithms in the analysis of computed tomography data:• improves the accuracy and reproducibility of diagnostic results;• reduces image interpretation time, thereby increasing physician efficiency;• enables the detection of minimal pathological changes that may be inconspicuous during conventional visual analysis;• ensures the standardization of descriptions and reports, reducing interobserver variability.The obtained results confirm that AI systems can serve as a reliable decision-support tool, complementing but not replacing physician expertise. The greatest impact is achieved when AI is used in combination with highly informative imaging modalities (CT/MRI), digital radiologic processing modules, and automatic segmentation and classification algorithms.The further development of this technology is linked to the adaptation of algorithms to national medical image databases, their validation in multicenter studies, and their integration into everyday clinical practice. This will enhance diagnostic quality, optimize patient management pathways, and bring healthcare closer to the principles of personalized medicine. The findings of this study open broad opportunities for further advancement of AI technologies in the diagnosis of paranasal sinus diseases. Promising areas include the development of specialized algorithms for the detection of rare and complex pathologies, integration of multicenter databases to improve model generalizability, and the creation of a unified software platform that combines visualization, automatic segmentation, and standardized reporting modules. The implementation of these goals will not only improve diagnostic performance but also reduce the workload of specialists, optimize healthcare resource utilization, and expand access to high-tech medical care.
References
| [1] | Piskunov SG. Clinical aspects of inflammatory diseases of the paranasal sinuses. Vestnik Otorinolaringologii. 2013; 78(2): 12–16. |
| [2] | Stagnieva IV. Diagnostic significance of headache in acute and chronic sinusitis. Rossiiskaya Otorinolaringologiya. 2008; (3): 23–27. |
| [3] | Lee J, Kim H, Park S, et al. Deep learning–based detection of early mucosal changes in paranasal sinus CT: A multicenter study. American Journal of Neuroradiology. 2024; 45(1): 105–112. |
| [4] | Kozlov VS, Kleshchin DA. Chronic rhinosinusitis: Epidemiology, diagnosis, and treatment approaches. Rhinology. 2005; 43(4): 227–233. |
| [5] | Bray F, Ferlay J, Soerjomataram I, et al. Global cancer statistics 2018: GLOBOCAN estimates of incidence and mortality worldwide for 36 cancers in 185 countries. CA: A Cancer Journal for Clinicians. 2018; 68(6): 394–424. |
| [6] | Sung H, Ferlay J, Siegel RL, et al. Global cancer statistics 2020: GLOBOCAN estimates of incidence and mortality worldwide for 36 cancers in 185 countries. CA: A Cancer Journal for Clinicians. 2021; 71(3): 209–249. |
| [7] | Chebib I, Kurman RJ. Pathology of the endometrium: Overview and recent advances. International Journal of Gynecological Pathology. 2014; 33(4): 309–317. |
| [8] | Zhang Y, Li X, Chen Z, et al. Automatic segmentation and classification of paranasal sinus diseases using 3D U-Net in CT images. Medical Physics. 2023; 50(2): 1245–1256. |
| [9] | Wang J, Zhou Y, Lin Y, et al. Artificial intelligence–aided diagnosis of maxillary sinusitis on cone-beam computed tomography. Dentomaxillofacial Radiology. 2023; 52(2): 20220384. |