American Journal of Medicine and Medical Sciences
p-ISSN: 2165-901X e-ISSN: 2165-9036
2021; 11(1): 25-32
doi:10.5923/j.ajmms.20211101.07
Received: Dec. 3, 2020; Accepted: Dec. 31, 2020; Published: Jan. 15, 2021

A. M. Khadjibaev, J. A. Djuraev, P. K. Sultanov, Khadjayarov N. P.
Republican Research Centre of Emergency Medicine, Tashkent, Uzbekistan
Copyright © 2021 The Author(s). Published by Scientific & Academic Publishing.
This work is licensed under the Creative Commons Attribution International License (CC BY).
http://creativecommons.org/licenses/by/4.0/

Introduction The frequency of abdominal organs and retroperitoneal space injuries at combined catatrauma remains high. Aim of research is to study the diagnostics methods at combined abdominal organs and retroperitoneal space injuries. Material and methods We analyzed diagnostics and treatment results of 180 victims of high-altitude trauma with combined injuries of the abdomen admitted to the surgical department of the Republican Research Centre of Emergency Medicine. Radiological and CT examinations, endosurgical interventions were performed to all patients. Results Combined injuries among patients with abdominal injuries were detected by instrumental methods in 94.9% and 88.3% of cases. The most frequently combined abdominal injuries were noted in patients with injuries of the chest organs (17.7% and 6.3%); head and extremities (10.1% and 2.7%); head + chest + pelvis + extremities (7.6% and 11.7%), head + chest + extremities (8.9% and 10.8%). Isolated abdominal injury was found in 5.1% and 11.7% of cases in the main and control groups. Injuries of abdominal organs at isolated or combined abdominal trauma during catatrauma were mainly manifested by ruptures of parenchymal organs with hemoperitoneum. Mortality among catatrauma victims with isolated and combined abdominal injuries was 17.7% in the main group and 27% in the control group. Conclusion It is very important to recognize simultaneously all the injuries immediately after the victim admits the hospital, while assessing the dominant ones. This need is imperative, vital, justified, urgent, as it is the motive for determining surgical tactics.
Keywords: Polytrauma, Combined injury, Catatrauma, Solated injury, Diagnostics, Abdominal injury
Cite this paper: A. M. Khadjibaev, J. A. Djuraev, P. K. Sultanov, Khadjayarov N. P., USS Diagnostic Score in High-Altitude Trauma, American Journal of Medicine and Medical Sciences, Vol. 11 No. 1, 2021, pp. 25-32. doi: 10.5923/j.ajmms.20211101.07.
|
|
|
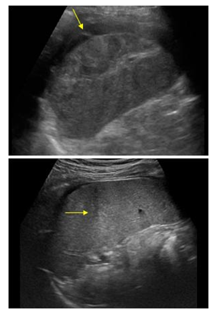
![]() | Figure 1. Ultrasound of the abdominal cavity of patient K. with catatrauma. Free fluid around the liver |
![]() | Figure 2. Ultrasound of the abdominal cavity of patient B. with catatrauma. Free fluid around the spleen |
|
|
![]() | Figure 3. The volume of free fluid in the abdominal cavity according to USS data in the main group |
|